For quotations, please use our online quotation form, and you may also contact us by
sales@neoscientific.com
+1-888.733.6849
+1-617.299.7367 (Int’l)
+1-888.733.6849
+1-617.299.7367 (Int’l)
| Reactivity | Human Mouse Rat |
| Tested applications | WB IHC |
| Recommended Dilution | WB 1:500 - 1:2000 IHC 1:50 - 1:200 |
| Calculated MW | 102kDa |
| Observed MW | Refer to Figures |
| Immunogen | A synthetic peptide of human GRM8 |
| Storage Buffer | Store at -20℃. Avoid freeze / thaw cycles. Buffer: PBS with 0.02% sodium azide, 50% glycerol, pH7.3. |
| Synonym | GLUR8; mGlu8; GPRC1H; MGLUR8 |

Western blot analysis of extracts of various cell lines, using GRM8 antibody.

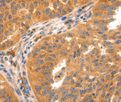
Immunohistochemistry of paraffin-embedded human ovarian cancer using GRM8 antibody.

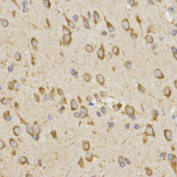
Immunohistochemistry of paraffin-embedded rat brain tissue using GRM8 antibody at dilution of 1:200 (x400 lens)

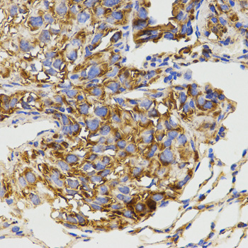
Immunohistochemistry of paraffin-embedded mouse lung metastasis tissue using GRM8 antibody at dilution of 1:200 (x400 lens)
L-glutamate is the major excitatory neurotransmitter in the central nervous system and activates both ionotropic and metabotropic glutamate receptors. Glutamatergic neurotransmission is involved in most aspects of normal brain function and can be perturbed in many neuropathologic conditions. The metabotropic glutamate receptors are a family of G protein-coupled receptors, that have been divided into 3 groups on the basis of sequence homology, putative signal transduction mechanisms, and pharmacologic properties. Group I includes GRM1 and GRM5 and these receptors have been shown to activate phospholipase C. Group II includes GRM2 and GRM3 while Group III includes GRM4, GRM6, GRM7 and GRM8. Group II and III receptors are linked to the inhibition of the cyclic AMP cascade but differ in their agonist selectivities. Alternatively spliced transcript variants encoding different isoforms have been described for this gene.
N/A