GRPR-Polyclonal Antibodies

our services
our products
Quotations & Ordering:

For quotations, please use our online quotation form, and you may also contact us by

sales@neoscientific.com

Phone:

+1-888.733.6849
+1-617.299.7367 (Int’l)

Fax:

+1-888.733.6849
+1-617.299.7367 (Int’l)

Our customer service representatives are available 24 hours, Monday through Friday to assist you.

GRPR

Qty


Total
$220
Catalog #
A2940
Antibody Type
Polyclonal Antibody
Gene ID
2925
Swiss Prot
P30550
Size
Species
Rabbit
Isotype
IgG
Purity
Affinity purification
Additional Information
ReactivityHuman Mouse Rat
Tested applicationsWB IHC
Recommended DilutionWB 1:500 - 1:2000 IHC 1:50 - 1:100
Calculated MW43kDa
Observed MWRefer to Figures
ImmunogenA synthetic peptide of human GRPR
Storage BufferStore at -20℃. Avoid freeze / thaw cycles. Buffer: PBS with 0.02% sodium azide, 50% glycerol, pH7.3.
SynonymBB2
Images
  • A2940: image 1

    Western blot analysis of extracts of various cell lines, using GRPR antibody.

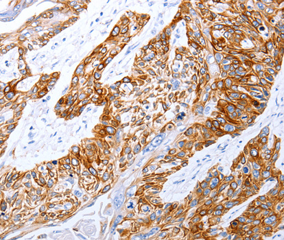
  • A2940: image 2

    Immunohistochemistry of paraffin-embedded human esophagus cancer tissue using GRPR antibody.

Background

Gastrin-releasing peptide (GRP) regulates numerous functions of the gastrointestinal and central nervous systems, including release of gastrointestinal hormones, smooth muscle cell contraction, and epithelial cell proliferation and is a potent mitogen for neoplastic tissues. The effects of GRP are mediated through the gastrin-releasing peptide receptor. This receptor is a glycosylated, 7-transmembrane G-protein coupled receptor that activates the phospholipase C signaling pathway. The receptor is aberrantly expressed in numerous cancers such as those of the lung, colon, and prostate. An individual with autism and multiple exostoses was found to have a balanced translocation between chromosome 8 and a chromosome X breakpoint located within the gastrin-releasing peptide receptor gene.

Protocol

N/A

MSDS
Reviews
Neo Scientific welcomes feedback from its customers.

If you have used an our product and would like to share how it has performed, please click on the "Submit Review" button and provide the requested information.

If you have any additional inquiries please email technical services at info@neobiolab.com.

Thank you for your support.

promotions

Image

Custom Monoclonal Antibody
MassAb Technologies
Image
Free Trial Custom Polyclonal Antibody
You will receive free purified antibodies for validation
Image
Custom Peptides Synthesis

Start from $40/each

new technologies

Image
Optimized for enhanced
expression levels
XPromoter 2.0
Image
E.coli/insect cells/293 & CHO

3 in 1 expression system
Image
MassAb Technologies

Cover All Epitopes