For quotations, please use our online quotation form, and you may also contact us by
sales@neoscientific.com
+1-888.733.6849
+1-617.299.7367 (Int’l)
+1-888.733.6849
+1-617.299.7367 (Int’l)
| Reactivity | Human |
| Tested applications | WB IHC IF |
| Recommended Dilution | WB 1:500 - 1:2000 IHC 1:50 - 1:200 IF 1:50 - 1:200 |
| Calculated MW | 28kDa |
| Observed MW | Refer to Figures |
| Immunogen | Recombinant protein of human GTF2F2 |
| Storage Buffer | Store at -20℃. Avoid freeze / thaw cycles. Buffer: PBS with 0.02% sodium azide, 50% glycerol, pH7.3. |
| Synonym | BTF4; RAP30; TF2F2; TFIIF; |

Western blot analysis of extracts of various cell lines, using GTF2F2 antibody.

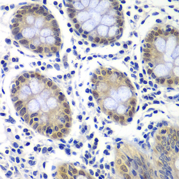
Immunohistochemistry of paraffin-embedded human colon using GTF2F2 antibody at dilution of 1:200 (400x lens).

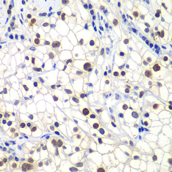
Immunohistochemistry of paraffin-embedded human kidney cancer using GTF2F2 antibody at dilution of 1:200 (400x lens).

Immunofluorescence analysis of A549 cell using GTF2F2 antibody. Blue: DAPI for nuclear staining.

Immunofluorescence analysis of A549 cell using GTF2F2 antibody.
N/A