For quotations, please use our online quotation form, and you may also contact us by
sales@neoscientific.com
+1-888.733.6849
+1-617.299.7367 (Int’l)
+1-888.733.6849
+1-617.299.7367 (Int’l)
| Reactivity | Human Mouse Rat |
| Tested applications | WB IHC |
| Recommended Dilution | WB 1:500 - 1:2000 IHC 1:50 - 1:200 |
| Calculated MW | 54kDa |
| Observed MW | Refer to Figures |
| Immunogen | Recombinant protein of human HCLS1 |
| Storage Buffer | Store at -20℃. Avoid freeze / thaw cycles. Buffer: PBS with 0.02% sodium azide, 50% glycerol, pH7.3. |
| Synonym | HS1; HCLS1; LckBP1; p75; CTTNL; |

Western blot analysis of extracts of various cell lines, using HCLS1 antibody.

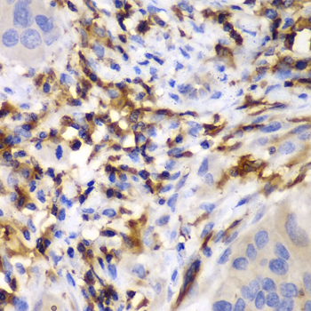
Immunohistochemistry of paraffin-embedded human liver cancer using HCLS1 antibody at dilution of 1:100 (400x lens).

Immunohistochemistry of paraffin-embedded human esophageal using HCLS1 antibody at dilution of 1:100 (400x lens).

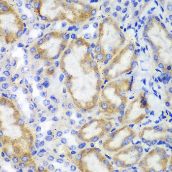
Immunohistochemistry of paraffin-embedded mouse kidney using HCLS1 antibody at dilution of 1:100 (400x lens).
HS1 (HCLS1, LckBP1, p75) is a protein kinase substrate that is expressed only in tissues and cells of hematopoietic origin (1,2). HS1 contains four cortactin repeats and a single SH3 domain (2). This intracellular protein is phosphorylated following immune receptor activation, which promotes recruitment of HS1 to the immune synapse (3-5). Phosphorylation of HS1 is required to regulate actin dynamics and provide docking sites for many other signaling molecules, such as Vav1 and PLCγ1 (6). HS1 also plays an important role in platelet activation (7).
N/A