HDGFRP2-Polyclonal Antibodies

our services
our products
Quotations & Ordering:

For quotations, please use our online quotation form, and you may also contact us by

sales@neoscientific.com

Phone:

+1-888.733.6849
+1-617.299.7367 (Int’l)

Fax:

+1-888.733.6849
+1-617.299.7367 (Int’l)

Our customer service representatives are available 24 hours, Monday through Friday to assist you.

HDGFRP2

Qty


Total
$220
Catalog #
A7484
Antibody Type
Polyclonal Antibody
Gene ID
84717
Swiss Prot
Q7Z4V5
Size
Species
Rabbit
Isotype
IgG
Purity
Affinity purification
Additional Information
ReactivityHuman Mouse
Tested applicationsWB IHC IF
Recommended DilutionWB 1:500 - 1:2000 IHC 1:50 - 1:200 IF 1:50 - 1:200
Calculated MW74kDa
Observed MWRefer to figures
ImmunogenRecombinant protein of human HDGFRP2
Storage BufferStore at -20℃. Avoid freeze / thaw cycles. Buffer: PBS with 0.02% sodium azide, 50% glycerol, pH7.3.
SynonymHDGF2; HRP-2; HDGF-2;
Images
  • A7484: image 1

    Western blot analysis of extracts of various cell lines, using HDGFRP2 antibody.

  • A7484: image 2

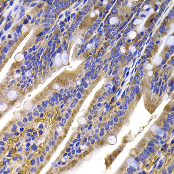
    Immunohistochemistry of paraffin-embedded mouse ileum using HDGFRP2 antibody at dilution of 1:100 (x400 lens).

  • A7484: image 3

    Immunofluorescence analysis of A549 cell using HDGFRP2 antibody.

Background

This gene encodes a member of the hepatoma-derived growth factor (HDGF) family. The protein includes an N-terminal PWWP domain that binds to methyl-lysine-containing histones, with specific binding of this protein to tri-methylated lysines 36 and 79 of histone H3, and di- and tri-methylated lysine 20 of histone H4. The protein functions in LEDGF/p75-independent HIV-1 replication by determining HIV-1 integration site selection. Alternative splicing of this gene results in multiple transcript variants.

Protocol

N/A

MSDS
Reviews
Neo Scientific welcomes feedback from its customers.

If you have used an our product and would like to share how it has performed, please click on the "Submit Review" button and provide the requested information.

If you have any additional inquiries please email technical services at info@neobiolab.com.

Thank you for your support.

promotions

Image

Custom Monoclonal Antibody
MassAb Technologies
Image
Free Trial Custom Polyclonal Antibody
You will receive free purified antibodies for validation
Image
Custom Peptides Synthesis

Start from $40/each

new technologies

Image
Optimized for enhanced
expression levels
XPromoter 2.0
Image
E.coli/insect cells/293 & CHO

3 in 1 expression system
Image
MassAb Technologies

Cover All Epitopes