For quotations, please use our online quotation form, and you may also contact us by
sales@neoscientific.com
+1-888.733.6849
+1-617.299.7367 (Int’l)
+1-888.733.6849
+1-617.299.7367 (Int’l)
| Reactivity | Human Rat |
| Tested applications | WB IHC |
| Recommended Dilution | WB 1:500 - 1:2000 IHC 1:50 - 1:200 |
| Calculated MW | 34kDa |
| Observed MW | Refer to figures |
| Immunogen | Recombinant protein of human HMGCL |
| Storage Buffer | Store at -20℃. Avoid freeze / thaw cycles. Buffer: PBS with 0.02% sodium azide, 50% glycerol, pH7.3. |
| Synonym | HL; |

Western blot analysis of extracts of various cells, using HMGCL antibody.

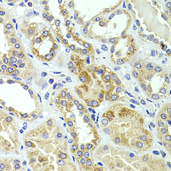
Immunohistochemistry of paraffin-embedded rat kidney using HMGCL antibody at dilution of 1:100 (x40 lens).

Immunohistochemistry of paraffin-embedded human colon carcinoma using HMGCL antibody at dilution of 1:100 (x40 lens).

Immunohistochemistry of paraffin-embedded human kidney using HMGCL antibody at dilution of 1:100 (x40 lens).
The protein encoded by this gene belongs to the HMG-CoA lyase family. It is a mitochondrial enzyme that catalyzes the final step of leucine degradation and plays a key role in ketone body formation. Mutations in this gene are associated with HMG-CoA lyase deficiency. Alternatively spliced transcript variants encoding different isoforms have been found for this gene.
N/A