For quotations, please use our online quotation form, and you may also contact us by
sales@neoscientific.com
+1-888.733.6849
+1-617.299.7367 (Int’l)
+1-888.733.6849
+1-617.299.7367 (Int’l)
| Reactivity | Human Mouse Rat |
| Tested applications | WB IHC IF IP RIP |
| Recommended Dilution | WB 1:500 - 1:2000 IHC 1:50 - 1:200 IF 1:50 - 1:200 IP 1:20 - 1:50 RIP 1:20 - 1:50 |
| Calculated MW | 51kDa |
| Observed MW | Refer to Figures |
| Immunogen | Recombinant protein of human HNRNPK |
| Storage Buffer | Store at -20℃. Avoid freeze / thaw cycles. Buffer: PBS with 0.02% sodium azide, 50% glycerol, pH7.3. |
| Concentration | j |
| Synonym | CSBP; FLJ41122; HNRPK; TUNP; |

Western blot analysis of extracts of various cell lines, using HNRNPK antibody.

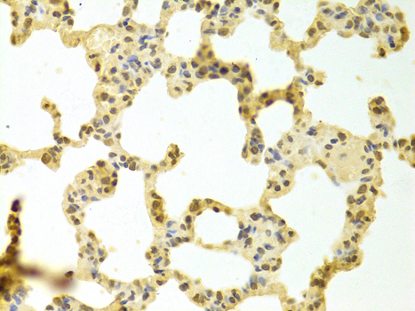
Immunohistochemistry of paraffin-embedded rat lung using HNRNPK antibody at dilution of 1:100 (x400 lens).

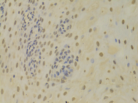
Immunohistochemistry of paraffin-embedded human esophageal using HNRNPK antibody at dilution of 1:100 (x400 lens).

Immunohistochemistry of paraffin-embedded mouse heart using HNRNPK antibody at dilution of 1:100 (x400 lens).

Immunofluorescence analysis of MCF7 cell using HNRNPK antibody. Blue: DAPI for nuclear staining.

Immunofluorescence analysis of A549 cell using HNRNPK antibody.
Heterogeneous nuclear ribonucleoprotein K (hnRNP K) belongs to a family of RNA binding multiprotein complexes (hnRNP proteins) that facilitate pre-mRNA processing and transport of mRNA from the nucleus to cytoplasm (1-3). hnRNP K contains three unique structural motifs termed KH domains that bind poly(C) DNA and RNA sequences (4,5). Intricate architecture enables hnRNP K to facilitate mRNA biosynthesis (6), transcriptional regulation (7), and signal transduction. Research studies have shown that cytoplasmic hnRNP K expression is increased in oral squamous cell carcinoma and pancreatic cancer, and may be a potential prognostic factor (8,9). hnRNP K coordinates with p53 to regulate its target gene transcription in response to DNA damage. Proteasome degradation of hnRNP K is mediated by E3 ligase MDM2 (10). The interaction between hnRNP K and c-Src leads to hnRNP K phosphorylation, which allows for hnRNP K activation of silenced mRNA translation (11).
N/A