HPSE2-Phosphorylated Antibodies

our services
our products
Quotations & Ordering:

For quotations, please use our online quotation form, and you may also contact us by

sales@neoscientific.com

Phone:

+1-888.733.6849
+1-617.299.7367 (Int’l)

Fax:

+1-888.733.6849
+1-617.299.7367 (Int’l)

Our customer service representatives are available 24 hours, Monday through Friday to assist you.

HPSE2

Qty


Total
$220
Catalog #
A8248
Antibody Type
Polyclonal Antibody
Gene ID
60495
Swiss Prot
Q8WWQ2
Size
Species
Rabbit
Isotype
IgG
Purity
Affinity purification
Additional Information
ReactivityHuman Mouse Rat
Tested applicationsWB IHC
Recommended DilutionWB 1:500 - 1:2000 IHC 1:50 - 1:100
Calculated MW67kDa
Observed MWRefer to figures
ImmunogenRecombinant protein of human HPSE2
Storage BufferStore at -20℃. Avoid freeze / thaw cycles. Buffer: PBS with 0.02% sodium azide, 50% glycerol, pH7.3.
SynonymUFS; HPA2; HPR2; UFS1;
Images
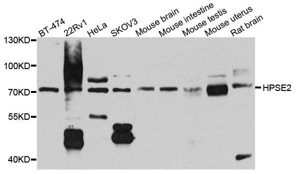
  • A8248: image 1

    Western blot analysis of extract of various cells, using HPSE2 antibody.

  • A8248: image 2

    Immunohistochemistry of paraffin-embedded human prostate using HPSE2 antibody at dilution of 1:100 (40x lens).

Background

This gene encodes a heparanase enzyme. The encoded protein is a endoglycosidase that degrades heparin sulfate proteoglycans located on the extracellular matrix and cell surface. This protein may be involved in biological processes involving remodeling of the extracellular matrix including angiogenesis and tumor progression. Alternate splicing results in multiple transcript variants.

Protocol

N/A

MSDS
Reviews
Neo Scientific welcomes feedback from its customers.

If you have used an our product and would like to share how it has performed, please click on the "Submit Review" button and provide the requested information.

If you have any additional inquiries please email technical services at info@neobiolab.com.

Thank you for your support.

promotions

Image

Custom Monoclonal Antibody
MassAb Technologies
Image
Free Trial Custom Polyclonal Antibody
You will receive free purified antibodies for validation
Image
Custom Peptides Synthesis

Start from $40/each

new technologies

Image
Optimized for enhanced
expression levels
XPromoter 2.0
Image
E.coli/insect cells/293 & CHO

3 in 1 expression system
Image
MassAb Technologies

Cover All Epitopes