HSF2-Polyclonal Antibodies

our services
our products
Quotations & Ordering:

For quotations, please use our online quotation form, and you may also contact us by

sales@neoscientific.com

Phone:

+1-888.733.6849
+1-617.299.7367 (Int’l)

Fax:

+1-888.733.6849
+1-617.299.7367 (Int’l)

Our customer service representatives are available 24 hours, Monday through Friday to assist you.

HSF2

Qty


Total
$220
Catalog #
A2747
Antibody Type
Polyclonal Antibody
Gene ID
3298
Swiss Prot
Q03933
Size
Species
Rabbit
Isotype
IgG
Purity
Affinity purification
Additional Information
ReactivityHuman Mouse Rat
Tested applicationsWB IHC IF
Recommended DilutionWB 1:500 - 1:2000 IHC 1:50 - 1:200 IF 1:50 - 1:200
Calculated MW60kDa
Observed MWRefer to Figures
ImmunogenRecombinant protein of human HSF2
Storage BufferStore at -20℃. Avoid freeze / thaw cycles. Buffer: PBS with 0.02% sodium azide, 50% glycerol, pH7.3.
Concentrationk
SynonymHSF 2; HSTF 2;
Images
  • A2747: image 1

    Western blot analysis of extracts of various cell lines, using HSF2 antibody.

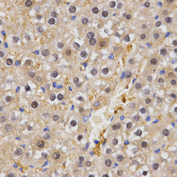
  • A2747: image 2

    Immunohistochemistry of paraffin-embedded rat liver tissue using HSF2 antibody at dilution of 1:200 (x400 lens)

  • A2747: image 3

    Immunofluorescence analysis of A549 cell using HSF2 antibody. Blue: DAPI for nuclear staining.

Background

The protein encoded by this gene belongs to the HSF family of transcription factors that bind specifically to the heat-shock promoter element and activate transcription. Heat shock transcription factors activate heat-shock response genes under conditions of heat or other stresses. Alternatively spliced transcript variants encoding different isoforms have been found for this gene.

Protocol

N/A

MSDS
Reviews
Neo Scientific welcomes feedback from its customers.

If you have used an our product and would like to share how it has performed, please click on the "Submit Review" button and provide the requested information.

If you have any additional inquiries please email technical services at info@neobiolab.com.

Thank you for your support.

promotions

Image

Custom Monoclonal Antibody
MassAb Technologies
Image
Free Trial Custom Polyclonal Antibody
You will receive free purified antibodies for validation
Image
Custom Peptides Synthesis

Start from $40/each

new technologies

Image
Optimized for enhanced
expression levels
XPromoter 2.0
Image
E.coli/insect cells/293 & CHO

3 in 1 expression system
Image
MassAb Technologies

Cover All Epitopes