For quotations, please use our online quotation form, and you may also contact us by
sales@neoscientific.com
+1-888.733.6849
+1-617.299.7367 (Int’l)
+1-888.733.6849
+1-617.299.7367 (Int’l)
| Reactivity | Human Mouse Rat | 
| Tested applications | WB IHC IF IP RIP | 
| Recommended Dilution | WB 1:500 - 1:2000 IHC 1:50 - 1:100 IF 1:20 - 1:50 IP 1:20 - 1:50 RIP 1:20 - 1:50 | 
| Calculated MW | 90kDa | 
| Observed MW | Refer to Figures | 
| Immunogen | Recombinant protein of human HSP90AA1 | 
| Storage Buffer | Store at -20℃. Avoid freeze / thaw cycles. Buffer: PBS with 0.02% sodium azide, 50% glycerol, pH7.3. | 
| Concentration | hj | 
| Synonym | HSP90AA1;FLJ31884;HSP86;HSP89A;HSP90A;HSP90N;HSPC1;HSPCA;HSPCAL1;HSPCAL4;HSPN;Hsp89;Hsp90;LAP2 ; | 

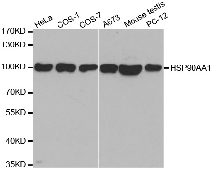
Western blot analysis of extracts of various cell lines, using HSP90AA1 antibody.

Immunohistochemistry of paraffin-embedded human prostate using HSP90AA1 antibody at dilution of 1:100 (x40 lens).

Immunohistochemistry of paraffin-embedded human lung using HSP90AA1 antibody at dilution of 1:100 (x40 lens).

Immunofluorescence analysis of U2OS cell using HSP90AA1 antibody.

Immunofluorescence analysis of A549 cell using HSP90AA1 antibody. Blue: DAPI for nuclear staining.
HSP70 and HSP90 are molecular chaperones expressed constitutively under normal conditions to maintain protein homeostasis and are induced upon environmental stress (1). Both HSP70 and HSP90 are able to interact with unfolded proteins to prevent irreversible aggregation and catalyze the refolding of their substrates in an ATP- and co-chaperone-dependent manner (1). HSP70 has a broad range of substrates including newly synthesized and denatured proteins, while HSP90 tends to have a more limited subset of substrates, most of which are signaling molecules. HSP70 and HSP90 often function collaboratively in a multi-chaperone system, which requires a minimal set of co-chaperones: HSP40, Hop, and p23 (2,3). The co-chaperones either regulate the intrinsic ATPase activity of the chaperones or recruit chaperones to specific substrates or subcellular compartments (1,4). When the ubiquitin ligase CHIP associates with the HSP70/HSP90 complex as a cofactor, the unfolded substrates are subjected to degradation by the proteasome (4). The biological functions of HSP70/HSP90 extend beyond their chaperone activity. They are essential for the maturation and inactivation of nuclear hormones and other signaling molecules (1,3). They also play a role in vesicle formation and protein trafficking (2).
N/A