HTR2B-Polyclonal Antibodies

our services
our products
Quotations & Ordering:

For quotations, please use our online quotation form, and you may also contact us by

sales@neoscientific.com

Phone:

+1-888.733.6849
+1-617.299.7367 (Int’l)

Fax:

+1-888.733.6849
+1-617.299.7367 (Int’l)

Our customer service representatives are available 24 hours, Monday through Friday to assist you.

HTR2B

Qty


Total
$220
Catalog #
A5670
Antibody Type
Polyclonal Antibody
Gene ID
3357
Swiss Prot
P41595
Size
Species
Rabbit
Isotype
IgG
Purity
Affinity purification
Additional Information
ReactivityHuman Mouse Rat
Tested applicationsWB IHC IF
Recommended DilutionWB 1:500 - 1:2000 IHC 1:50 - 1:200 IF 1:10 - 1:100
Calculated MW54kDa
Observed MWRefer to Figures
ImmunogenRecombinant protein of human HTR2B
Storage BufferStore at -20℃. Avoid freeze / thaw cycles. Buffer: PBS with 0.02% sodium azide, 50% glycerol, pH7.3.
Synonym5-HT2B; 5-HT(2B);
Images
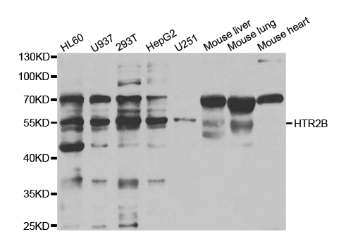
  • A5670: image 1

    Western blot analysis of extracts of various cell lines, using HTR2B antibody.

Background

This gene encodes one of the several different receptors for 5-hydroxytryptamine (serotonin) that belongs to the G-protein coupled receptor 1 family. Serotonin is a biogenic hormone that functions as a neurotransmitter, a hormone, and a mitogen. Serotonin receptors mediate many of the central and peripheral physiologic functions of serotonin, including regulation of cardiovascular functions and impulsive behavior. Population and family-based analyses of a minor allele (glutamine-to-stop substitution, designated Q20*) which blocks expression of this protein, and knockout studies in mice, suggest a role for this gene in impulsivity. However, other factors, such as elevated testosterone levels, may also be involved.

Protocol

N/A

MSDS
Reviews
Neo Scientific welcomes feedback from its customers.

If you have used an our product and would like to share how it has performed, please click on the "Submit Review" button and provide the requested information.

If you have any additional inquiries please email technical services at info@neobiolab.com.

Thank you for your support.

promotions

Image

Custom Monoclonal Antibody
MassAb Technologies
Image
Free Trial Custom Polyclonal Antibody
You will receive free purified antibodies for validation
Image
Custom Peptides Synthesis

Start from $40/each

new technologies

Image
Optimized for enhanced
expression levels
XPromoter 2.0
Image
E.coli/insect cells/293 & CHO

3 in 1 expression system
Image
MassAb Technologies

Cover All Epitopes