For quotations, please use our online quotation form, and you may also contact us by
sales@neoscientific.com
+1-888.733.6849
+1-617.299.7367 (Int’l)
+1-888.733.6849
+1-617.299.7367 (Int’l)
| Reactivity | Human Mouse Rat |
| Tested applications | WB IHC IF |
| Recommended Dilution | WB 1:500 - 1:2000 IHC 1:50 - 1:200 IF 1:50 - 1:100 |
| Calculated MW | 13kDa |
| Observed MW | Refer to figures |
| Immunogen | Recombinant protein of human ID3 |
| Storage Buffer | Store at -20℃. Avoid freeze / thaw cycles. Buffer: PBS with 0.02% sodium azide, 50% glycerol, pH7.3. |
| Synonym | HEIR-1; bHLHb25; |

Western blot analysis of extracts of mouse liver, using ID3 antibody.

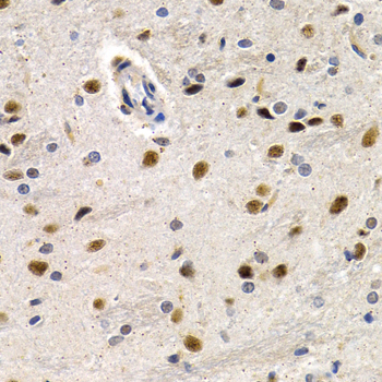
Immunohistochemistry of paraffin-embedded rat brain using ID3 antibody at dilution of 1:200 (400x lens).

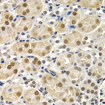
Immunohistochemistry of paraffin-embedded mouse kidney using ID3 antibody at dilution of 1:200 (400x lens).

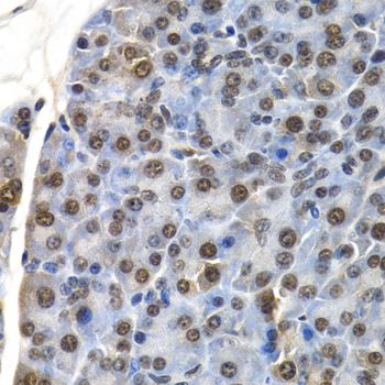
Immunohistochemistry of paraffin-embedded mouse pancreas using ID3 antibody at dilution of 1:200 (400x lens).

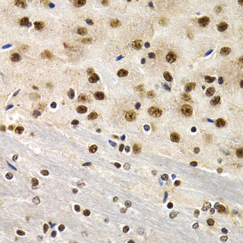
Immunohistochemistry of paraffin-embedded mouse brain using ID3 antibody at dilution of 1:200 (400x lens).

Immunohistochemistry of paraffin-embedded mouse spleen using ID3 antibody at dilution of 1:200 (400x lens).

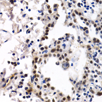
Immunohistochemistry of paraffin-embedded human lung cancer using ID3 antibody at dilution of 1:200 (400x lens).

Immunofluorescence analysis of HeLa cell using ID3 antibody.
The protein encoded by this gene is a helix-loop-helix (HLH) protein that can form heterodimers with other HLH proteins. However, the encoded protein lacks a basic DNA-binding domain and therefore inhibits the DNA binding of any HLH protein with which it interacts.
N/A