IRF6-Polyclonal Antibodies

our services
our products
Quotations & Ordering:

For quotations, please use our online quotation form, and you may also contact us by

sales@neoscientific.com

Phone:

+1-888.733.6849
+1-617.299.7367 (Int’l)

Fax:

+1-888.733.6849
+1-617.299.7367 (Int’l)

Our customer service representatives are available 24 hours, Monday through Friday to assist you.

IRF6

Qty


Total
$220
Catalog #
A6246
Antibody Type
Polyclonal Antibody
Gene ID
3664
Swiss Prot
O14896
Size
Species
Rabbit
Isotype
IgG
Purity
Affinity purification
Additional Information
ReactivityHuman Mouse Rat
Tested applicationsWB IHC
Recommended DilutionWB 1:500 - 1:2000 IHC 1:50 - 1:200
Calculated MW53kDa
Observed MWRefer to Figures
ImmunogenRecombinant protein of human IRF6
Storage BufferStore at -20℃. Avoid freeze / thaw cycles. Buffer: PBS with 0.02% sodium azide, 50% glycerol, pH7.3.
SynonymLPS; PIT; PPS; VWS; OFC6; PPS1; VWS1;
Images
  • A6246: image 1

    Western blot analysis of extracts of various cell lines, using IRF6 antibody.

  • A6246: image 2

    Immunohistochemistry of paraffin-embedded rat pancreas using IRF6 antibody at dilution of 1:200 (400x lens).

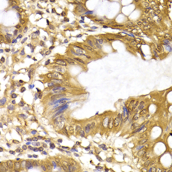
  • A6246: image 3

    Immunohistochemistry of paraffin-embedded human colon cancer using IRF6 antibody at dilution of 1:200 (400x lens).

Background

This gene encodes a member of the interferon regulatory transcription factor (IRF) family. Family members share a highly-conserved N-terminal helix-turn-helix DNA-binding domain and a less conserved C-terminal protein-binding domain. The encoded protein may be a transcriptional activator. Mutations in this gene can cause van der Woude syndrome and popliteal pterygium syndrome. Mutations in this gene are also associated with non-syndromic orofacial cleft type 6. Alternate splicing results in multiple transcript variants.

Protocol

N/A

MSDS
Reviews
Neo Scientific welcomes feedback from its customers.

If you have used an our product and would like to share how it has performed, please click on the "Submit Review" button and provide the requested information.

If you have any additional inquiries please email technical services at info@neobiolab.com.

Thank you for your support.

promotions

Image

Custom Monoclonal Antibody
MassAb Technologies
Image
Free Trial Custom Polyclonal Antibody
You will receive free purified antibodies for validation
Image
Custom Peptides Synthesis

Start from $40/each

new technologies

Image
Optimized for enhanced
expression levels
XPromoter 2.0
Image
E.coli/insect cells/293 & CHO

3 in 1 expression system
Image
MassAb Technologies

Cover All Epitopes