ITGA6-Polyclonal Antibodies

our services
our products
Quotations & Ordering:

For quotations, please use our online quotation form, and you may also contact us by

sales@neoscientific.com

Phone:

+1-888.733.6849
+1-617.299.7367 (Int’l)

Fax:

+1-888.733.6849
+1-617.299.7367 (Int’l)

Our customer service representatives are available 24 hours, Monday through Friday to assist you.

ITGA6

Qty


Total
$220
Catalog #
A8025
Antibody Type
Polyclonal Antibody
Gene ID
3655
Swiss Prot
P23229
Size
Species
Rabbit
Isotype
IgG
Purity
Affinity purification
Additional Information
ReactivityHuman
Tested applicationsIHC
Recommended DilutionIHC 1:50 - 1:200
Calculated MW127kDa
Observed MWRefer to figures
ImmunogenA synthetic peptide of human ITGA6
Storage BufferStore at -20℃. Avoid freeze / thaw cycles. Buffer: PBS with 0.02% sodium azide, 50% glycerol, pH7.3.
SynonymCD49f; VLA-6; ITGA6B;
Images
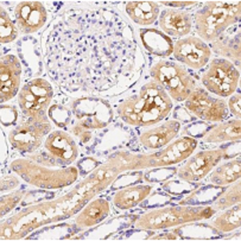
  • A8025: image 1

    Immunohistochemistry of paraffin-embedded human kidney cancer using ITGA6 antibody at dilution of 1:200 (200x lens).

  • A8025: image 2

    Immunohistochemistry of paraffin-embedded human stomach cancer using ITGA6 antibody at dilution of 1:200 (200x lens)

Background

The ITGA6 protein product is the integrin alpha chain alpha 6. Integrins are integral cell-surface proteins composed of an alpha chain and a beta chain. A given chain may combine with multiple partners resulting in different integrins. For example, alpha 6 may combine with beta 4 in the integrin referred to as TSP180, or with beta 1 in the integrin VLA-6. Integrins are known to participate in cell adhesion as well as cell-surface mediated signalling. Two transcript variants encoding different isoforms have been found for this gene.

Protocol

N/A

MSDS
Reviews
Neo Scientific welcomes feedback from its customers.

If you have used an our product and would like to share how it has performed, please click on the "Submit Review" button and provide the requested information.

If you have any additional inquiries please email technical services at info@neobiolab.com.

Thank you for your support.

promotions

Image

Custom Monoclonal Antibody
MassAb Technologies
Image
Free Trial Custom Polyclonal Antibody
You will receive free purified antibodies for validation
Image
Custom Peptides Synthesis

Start from $40/each

new technologies

Image
Optimized for enhanced
expression levels
XPromoter 2.0
Image
E.coli/insect cells/293 & CHO

3 in 1 expression system
Image
MassAb Technologies

Cover All Epitopes