JMJD6-Polyclonal Antibodies

our services
our products
Quotations & Ordering:

For quotations, please use our online quotation form, and you may also contact us by

sales@neoscientific.com

Phone:

+1-888.733.6849
+1-617.299.7367 (Int’l)

Fax:

+1-888.733.6849
+1-617.299.7367 (Int’l)

Our customer service representatives are available 24 hours, Monday through Friday to assist you.

JMJD6

Qty


Total
$220
Catalog #
A5840
Antibody Type
Polyclonal Antibody
Gene ID
23210
Swiss Prot
Q6NYC1
Size
Species
Rabbit
Isotype
IgG
Purity
Affinity purification
Additional Information
ReactivityHuman Mouse Rat
Tested applicationsWB IHC IF IP CHIP
Recommended DilutionWB 1:500 - 1:2000 IHC 1:50 - 1:200 IF 1:50 - 1:200 IP 1:50 - 1:200 ChIP 1:20 - 1:100
Calculated MW46kDa
Observed MWRefer to Figures
ImmunogenRecombinant protein of human JMJD6
Storage BufferStore at -20℃. Avoid freeze / thaw cycles. Buffer: PBS with 0.02% sodium azide, 50% glycerol, pH7.3.
Concentrationf
SynonymPSR; PTDSR; PTDSR1;
Images
  • A5840: image 1

    Western blot analysis of extracts of various cell lines, using JMJD6 antibody.

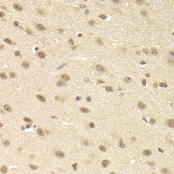
  • A5840: image 2

    Immunohistochemistry of paraffin-embedded mouse brain using JMJD6 antibody at dilution of 1:200 (400x lens).

Background

This gene encodes a nuclear protein with a JmjC domain. JmjC domain-containing proteins are predicted to function as protein hydroxylases or histone demethylases. This protein was first identified as a putative phosphatidylserine receptor involved in phagocytosis of apoptotic cells; however, subsequent studies have indicated that it does not directly function in the clearance of apoptotic cells, and questioned whether it is a true phosphatidylserine receptor. Multiple transcript variants encoding different isoforms have been found for this gene.

Protocol

N/A

MSDS
Reviews
Neo Scientific welcomes feedback from its customers.

If you have used an our product and would like to share how it has performed, please click on the "Submit Review" button and provide the requested information.

If you have any additional inquiries please email technical services at info@neobiolab.com.

Thank you for your support.

promotions

Image

Custom Monoclonal Antibody
MassAb Technologies
Image
Free Trial Custom Polyclonal Antibody
You will receive free purified antibodies for validation
Image
Custom Peptides Synthesis

Start from $40/each

new technologies

Image
Optimized for enhanced
expression levels
XPromoter 2.0
Image
E.coli/insect cells/293 & CHO

3 in 1 expression system
Image
MassAb Technologies

Cover All Epitopes