JUN-Polyclonal Antibodies

our services
our products
Quotations & Ordering:

For quotations, please use our online quotation form, and you may also contact us by

sales@neoscientific.com

Phone:

+1-888.733.6849
+1-617.299.7367 (Int’l)

Fax:

+1-888.733.6849
+1-617.299.7367 (Int’l)

Our customer service representatives are available 24 hours, Monday through Friday to assist you.

JUN

Qty


Total
$220
Catalog #
A0246
Antibody Type
Polyclonal Antibody
Gene ID
3725
Swiss Prot
P05412
Size
Species
Rabbit
Isotype
IgG
Purity
Affinity purification
Additional Information
ReactivityHuman Mouse Rat
Tested applicationsWB IHC IF
Recommended DilutionWB 1:500 - 1:2000 IHC 1:50 - 1:200 IF 1:20 - 1:50
Calculated MW36kDa
Observed MWRefer to Figures
ImmunogenRecombinant protein of human JUN
Storage BufferStore at -20℃. Avoid freeze / thaw cycles. Buffer: PBS with 0.02% sodium azide, 50% glycerol, pH7.3.
Concentrationk
SynonymJUN;AP-1;AP1;c-Jun ;
Images
  • A0246: image 1

    Western blot analysis of extracts of PC3 cells, using c-Jun antibody.

  • A0246: image 2

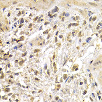
    Immunohistochemistry of paraffin-embedded human stomach cancer using Jun antibody at dilution of 1:200 (400x lens).

  • A0246: image 3

    Immunofluorescence analysis of A549 cell using Jun antibody. Blue: DAPI for nuclear staining.

Background

c-Jun is a member of the Jun Family containing c-Jun, JunB and JunD, and is a component of the transcription factor AP-1 (activator protein-1). AP-1 is composed of dimers of Fos, Jun and ATF family members and binds to and activates transcription at TRE/AP-1 elements (reviewed in 1). Extracellular signals including growth factors, chemokines and stress activate AP-1-dependent transcription. The transcriptional activity of c-Jun is regulated by phosphorylation at Ser63 and Ser73 through SAPK/JNK (reviewed in 2). Knock-out studies in mice have shown that c-Jun is essential for embryogenesis (3), and subsequent studies have demonstrated roles for c-Jun in various tissues and developmental processes including axon regeneration (4), liver regeneration (5) and T cell development (6). AP-1 regulated genes exert diverse biological functions including cell proliferation, differentiation, and apoptosis, as well as transformation, invasion and metastasis, depending on cell type and context (7-9). Other target genes regulate survival as well as hypoxia and angiogenesis (8,10). c-Jun has emerged as a promising therapeutic target for cancer, vascular remodeling, acute inflammation, as well as rheumatoid arthritis (11,12).

Protocol

N/A

MSDS
Reviews
Neo Scientific welcomes feedback from its customers.

If you have used an our product and would like to share how it has performed, please click on the "Submit Review" button and provide the requested information.

If you have any additional inquiries please email technical services at info@neobiolab.com.

Thank you for your support.

promotions

Image

Custom Monoclonal Antibody
MassAb Technologies
Image
Free Trial Custom Polyclonal Antibody
You will receive free purified antibodies for validation
Image
Custom Peptides Synthesis

Start from $40/each

new technologies

Image
Optimized for enhanced
expression levels
XPromoter 2.0
Image
E.coli/insect cells/293 & CHO

3 in 1 expression system
Image
MassAb Technologies

Cover All Epitopes