KCNN3-Polyclonal Antibodies

our services
our products
Quotations & Ordering:

For quotations, please use our online quotation form, and you may also contact us by

sales@neoscientific.com

Phone:

+1-888.733.6849
+1-617.299.7367 (Int’l)

Fax:

+1-888.733.6849
+1-617.299.7367 (Int’l)

Our customer service representatives are available 24 hours, Monday through Friday to assist you.

KCNN3

Qty


Total
$220
Catalog #
A6125
Antibody Type
Polyclonal Antibody
Gene ID
3782
Swiss Prot
Q9UGI6
Size
Species
Rabbit
Isotype
IgG
Purity
Affinity purification
Additional Information
ReactivityHuman Mouse Rat
Tested applicationsWB IHC
Recommended DilutionWB 1:500 - 1:2000 IHC 1:50 - 1:200
Calculated MW82kDa
Observed MWRefer to Figures
ImmunogenRecombinant protein of human KCNN3
Storage BufferStore at -20℃. Avoid freeze / thaw cycles. Buffer: PBS with 0.02% sodium azide, 50% glycerol, pH7.3.
SynonymSK3; hSK3; SKCA3; KCa2.3;
Images
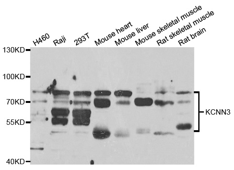
  • A6125: image 1

    Western blot analysis of extracts of various cell lines, using KCNN3 antibody.

  • A6125: image 2

    Immunohistochemistry of paraffin-embedded Human gastric using KCNN3 antibody at dilution of 1:100 (x400 lens).

Background

Action potentials in vertebrate neurons are followed by an afterhyperpolarization (AHP) that may persist for several seconds and may have profound consequences for the firing pattern of the neuron. Each component of the AHP is kinetically distinct and is mediated by different calcium-activated potassium channels. This gene belongs to the KCNN family of potassium channels. It encodes an integral membrane protein that forms a voltage-independent calcium-activated channel, which is thought to regulate neuronal excitability by contributing to the slow component of synaptic AHP. This gene contains two CAG repeat regions in the coding sequence. It was thought that expansion of one or both of these repeats could lead to an increased susceptibility to schizophrenia or bipolar disorder, but studies indicate that this is probably not the case. Alternatively spliced transcript variants encoding different isoforms have been found for this gene.

Protocol

N/A

MSDS
Reviews
Neo Scientific welcomes feedback from its customers.

If you have used an our product and would like to share how it has performed, please click on the "Submit Review" button and provide the requested information.

If you have any additional inquiries please email technical services at info@neobiolab.com.

Thank you for your support.

promotions

Image

Custom Monoclonal Antibody
MassAb Technologies
Image
Free Trial Custom Polyclonal Antibody
You will receive free purified antibodies for validation
Image
Custom Peptides Synthesis

Start from $40/each

new technologies

Image
Optimized for enhanced
expression levels
XPromoter 2.0
Image
E.coli/insect cells/293 & CHO

3 in 1 expression system
Image
MassAb Technologies

Cover All Epitopes