KEAP1-Polyclonal Antibodies

our services
our products
Quotations & Ordering:

For quotations, please use our online quotation form, and you may also contact us by

sales@neoscientific.com

Phone:

+1-888.733.6849
+1-617.299.7367 (Int’l)

Fax:

+1-888.733.6849
+1-617.299.7367 (Int’l)

Our customer service representatives are available 24 hours, Monday through Friday to assist you.

KEAP1

Qty


Total
$220
Catalog #
A1820
Antibody Type
Polyclonal Antibody
Gene ID
9817
Swiss Prot
Q14145
Size
Species
Rabbit
Isotype
IgG
Purity
Affinity purification
Additional Information
ReactivityHuman Mouse Rat
Tested applicationsWB IHC IF
Recommended DilutionWB 1:500 - 1:2000 IHC 1:50 - 1:200 IF 1:50 - 1:200
Calculated MW70kDa
Observed MWRefer to Figures
ImmunogenRecombinant protein of human KEAP1
Storage BufferStore at -20℃. Avoid freeze / thaw cycles. Buffer: PBS with 0.02% sodium azide, 50% glycerol, pH7.3.
SynonymINrf2; KIAA0132; KLHL19; MGC10630; MGC1114; MGC20887; MGC4407; MGC9454
Images
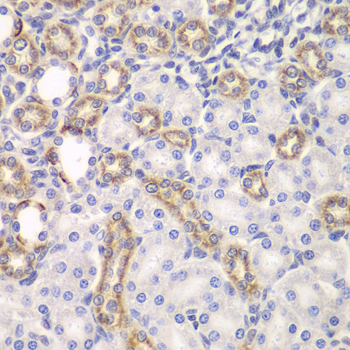
  • A1820: image 1

    Immunohistochemistry of paraffin-embedded rat kidney using KEAP1 antibody at dilution of 1:100 (40x lens).

  • A1820: image 2

    Immunofluorescence analysis using KEAP1 antibody.

Background

The nuclear factor-like 2 (NRF2) transcriptional activator binds antioxidant response elements (ARE) of target gene promoter regions to regulate expression of oxidative stress response genes. Under basal conditions, the NRF2 inhibitor INrf2 (also called KEAP1) binds and retains NRF2 in the cytoplasm where it can be targeted for ubiquitin-mediated degradation (1). Small amounts of constitutive nuclear NRF2 maintains cellular homeostasis through regulation of basal expression of antioxidant response genes. Following oxidative or electrophilic stress, KEAP1 releases NRF2, thereby allowing the activator to translocate to the nucleus and bind to ARE-containing genes (2). The coordinated action of NRF2 and other transcription factors mediates the response to oxidative stress (3). Altered expression of NRF2 is associated with chronic obstructive pulmonary disease (COPD) (4). NRF2 activity in lung cancer cell lines directly correlates with cell proliferation rates, and inhibition of NRF2 expression by siRNA enhances anti-cancer drug-induced apoptosis (5).The NRF2 repressor KEAP1 contains an amino terminal BTB/POZ domain and a carboxyl terminal KELCH domain (6,7). The KELCH domain is required for interacting with NRF2 and the BTB/POZ domain functions in binding Cul3 E3 ubiquitin ligase (8-10). Under normal conditions, the complex leads to the cytoplasmic sequestration and ubiquitin-mediated proteasomal degradation of NRF2. Electrophilic modification of KEAP1 leads to disassociation of the NRF2/KEAP1 complex. KEAP1 also targets the down regulation of NF-κB activity by targeting IKKβ degradation (11).

Protocol

N/A

MSDS
Reviews
Neo Scientific welcomes feedback from its customers.

If you have used an our product and would like to share how it has performed, please click on the "Submit Review" button and provide the requested information.

If you have any additional inquiries please email technical services at info@neobiolab.com.

Thank you for your support.

promotions

Image

Custom Monoclonal Antibody
MassAb Technologies
Image
Free Trial Custom Polyclonal Antibody
You will receive free purified antibodies for validation
Image
Custom Peptides Synthesis

Start from $40/each

new technologies

Image
Optimized for enhanced
expression levels
XPromoter 2.0
Image
E.coli/insect cells/293 & CHO

3 in 1 expression system
Image
MassAb Technologies

Cover All Epitopes