KISS1R-Polyclonal Antibodies

our services
our products
Quotations & Ordering:

For quotations, please use our online quotation form, and you may also contact us by

sales@neoscientific.com

Phone:

+1-888.733.6849
+1-617.299.7367 (Int’l)

Fax:

+1-888.733.6849
+1-617.299.7367 (Int’l)

Our customer service representatives are available 24 hours, Monday through Friday to assist you.

KISS1R

Qty


Total
$220
Catalog #
A2967
Antibody Type
Polyclonal Antibody
Gene ID
84634
Swiss Prot
Q969F8
Size
Species
Rabbit
Isotype
IgG
Purity
Affinity purification
Additional Information
ReactivityHuman Mouse
Tested applicationsWB IHC
Recommended DilutionWB 1:500 - 1:1000 IHC 1:50 - 1:100
Calculated MW43kDa
Observed MWRefer to Figures
ImmunogenA synthetic peptide of human KISS1R
Storage BufferStore at -20℃. Avoid freeze / thaw cycles. Buffer: PBS with 0.02% sodium azide, 50% glycerol, pH7.3.
SynonymHH8; GPR54; AXOR12; KISS-1R; HOT7T175
Images
  • A2967: image 1

    Western blot analysis of extracts of SW480 cell line, using KISS1R antibody.

  • A2967: image 2

    Immunohistochemistry of paraffin-embedded human ovarian cancer tissue using KISS1R antibody.

  • A2967: image 3

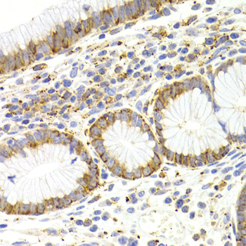
    Immunohistochemistry of paraffin-embedded human stomach cancer using KISS1R antibody at dilution of 1:200 (400x lens).

Background

The protein encoded by this gene is a galanin-like G protein-coupled receptor that binds metastin, a peptide encoded by the metastasis suppressor gene KISS1. The tissue distribution of the expressed gene suggests that it is involved in the regulation of endocrine function, and this is supported by the finding that this gene appears to play a role in the onset of puberty. Mutations in this gene have been associated with hypogonadotropic hypogonadism and central precocious puberty.

Protocol

N/A

MSDS
Reviews
Neo Scientific welcomes feedback from its customers.

If you have used an our product and would like to share how it has performed, please click on the "Submit Review" button and provide the requested information.

If you have any additional inquiries please email technical services at info@neobiolab.com.

Thank you for your support.

promotions

Image

Custom Monoclonal Antibody
MassAb Technologies
Image
Free Trial Custom Polyclonal Antibody
You will receive free purified antibodies for validation
Image
Custom Peptides Synthesis

Start from $40/each

new technologies

Image
Optimized for enhanced
expression levels
XPromoter 2.0
Image
E.coli/insect cells/293 & CHO

3 in 1 expression system
Image
MassAb Technologies

Cover All Epitopes