KMT2E-Polyclonal Antibodies

our services
our products
Quotations & Ordering:

For quotations, please use our online quotation form, and you may also contact us by

sales@neoscientific.com

Phone:

+1-888.733.6849
+1-617.299.7367 (Int’l)

Fax:

+1-888.733.6849
+1-617.299.7367 (Int’l)

Our customer service representatives are available 24 hours, Monday through Friday to assist you.

KMT2E

Qty


Total
$220
Catalog #
A6142
Antibody Type
Polyclonal Antibody
Gene ID
55904
Swiss Prot
Q8IZD2
Size
Species
Rabbit
Isotype
IgG
Purity
Affinity purification
Additional Information
ReactivityHuman Mouse Rat
Tested applicationsWB IHC IF IP
Recommended DilutionWB 1:500 - 1:2000 IHC 1:50 - 1:200 IF 1:50 - 1:200 IP 1:50 - 1:100
Calculated MW205kDa
Observed MWRefer to Figures
ImmunogenRecombinant Protein of human KMT2E
Storage BufferStore at -20℃. Avoid freeze / thaw cycles. Buffer: PBS with 0.02% sodium azide, 50% glycerol, pH7.3.
Concentrationfk
SynonymMLL5; NKp44L; HDCMC04P;
Images
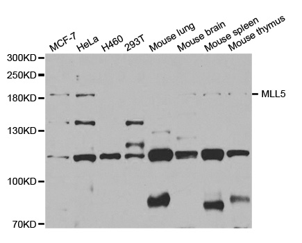
  • A6142: image 1

    Western blot analysis of extracts of various cells, using KMT2E antibody.

  • A6142: image 2

    Immunofluorescence analysis of U20S cell using KMT2E antibody. Blue: DAPI for nuclear staining.

Background

This gene is a member of the myeloid/lymphoid or mixed-lineage leukemia (MLL) family and encodes a protein with an N-terminal PHD zinc finger and a central SET domain. Overexpression of the protein inhibits cell cycle progression. Alternate transcriptional splice variants have been characterized.

Protocol

N/A

MSDS
Reviews
Neo Scientific welcomes feedback from its customers.

If you have used an our product and would like to share how it has performed, please click on the "Submit Review" button and provide the requested information.

If you have any additional inquiries please email technical services at info@neobiolab.com.

Thank you for your support.

promotions

Image

Custom Monoclonal Antibody
MassAb Technologies
Image
Free Trial Custom Polyclonal Antibody
You will receive free purified antibodies for validation
Image
Custom Peptides Synthesis

Start from $40/each

new technologies

Image
Optimized for enhanced
expression levels
XPromoter 2.0
Image
E.coli/insect cells/293 & CHO

3 in 1 expression system
Image
MassAb Technologies

Cover All Epitopes