For quotations, please use our online quotation form, and you may also contact us by
sales@neoscientific.com
+1-888.733.6849
+1-617.299.7367 (Int’l)
+1-888.733.6849
+1-617.299.7367 (Int’l)
| Reactivity | Human Mouse |
| Tested applications | WB IHC |
| Recommended Dilution | WB 1:500 - 1:2000 IHC 1:50 - 1:200 |
| Calculated MW | 63kDa |
| Observed MW | Refer to Figures |
| Immunogen | A synthetic peptide of human MMP25 |
| Storage Buffer | Store at -20℃. Avoid freeze / thaw cycles. Buffer: PBS with 0.02% sodium azide, 50% glycerol, pH7.3. |
| Synonym | MMP20; MMPL1; MMP-25; MMP20A; MT6MMP; MTMMP6; MT-MMP6; MT6-MMP; MT-MMP 6 |

Western blot analysis of extracts of various cell lines, using MMP25 antibody.

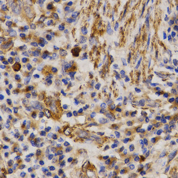
Immunohistochemistry of paraffin-embedded Human lung cancer tissue using MMP25 antibody.

Immunohistochemistry of paraffin-embedded human lung cancer using MMP25 antibody at dilution of 1:200 (x400 lens)

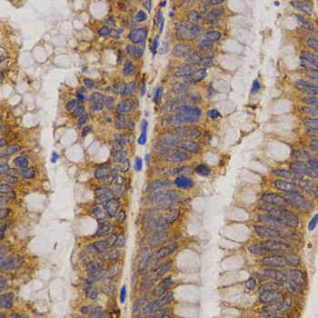
Immunohistochemistry of paraffin-embedded human rectal cancer using MMP25 antibody at dilution of 1:200 (x400 lens)
Proteins of the matrix metalloproteinase (MMP) family are involved in the breakdown of extracellular matrix in normal physiological processes, such as embryonic development, reproduction, and tissue remodeling, as well as in disease processes, such as arthritis and metastasis. Most MMPs are secreted as inactive proproteins which are activated when cleaved by extracellular proteinases. However, the protein encoded by this gene is a member of the membrane-type MMP (MT-MMP) subfamily, attached to the plasma membrane via a glycosylphosphatidyl inositol anchor. In response to bacterial infection or inflammation, the encoded protein is thought to inactivate alpha-1 proteinase inhibitor, a major tissue protectant against proteolytic enzymes released by activated neutrophils, facilitating the transendothelial migration of neutrophils to inflammatory sites. The encoded protein may also play a role in tumor invasion and metastasis through activation of MMP2. The gene has previously been referred to as MMP20 but has been renamed MMP25.
N/A