NDUFA13-Polyclonal Antibodies

our services
our products
Quotations & Ordering:

For quotations, please use our online quotation form, and you may also contact us by

sales@neoscientific.com

Phone:

+1-888.733.6849
+1-617.299.7367 (Int’l)

Fax:

+1-888.733.6849
+1-617.299.7367 (Int’l)

Our customer service representatives are available 24 hours, Monday through Friday to assist you.

NDUFA13

Qty


Total
$220
Catalog #
A5412
Antibody Type
Polyclonal Antibody
Gene ID
51079
Swiss Prot
Q9P0J0
Size
Species
Rabbit
Isotype
IgG
Purity
Affinity purification
Additional Information
ReactivityHuman Mouse Rat
Tested applicationsWB IHC
Recommended DilutionWB 1:500 - 1:2000 IHC 1:50 - 1:200
Calculated MW17kDa
Observed MWRefer to Figures
ImmunogenRecombinant protein of human NDUFA13
Storage BufferStore at -20℃. Avoid freeze / thaw cycles. Buffer: PBS with 0.02% sodium azide, 50% glycerol, pH7.3.
Concentrationi
SynonymB16.6; CDA016; CGI-39; GRIM19; GRIM-19;
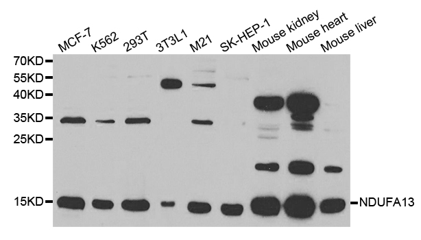
Images
  • A5412: image 1

    Western blot analysis of extracts of various cell lines, using NDUFA13 antibody.

Background

This gene encodes a subunit of the mitochondrial membrane respiratory chain NADH dehydrogenase (Complex I), which functions in the transfer of electrons from NADH to the respiratory chain. The protein is required for complex I assembly and electron transfer activity. The protein binds the signal transducers and activators of transcription 3 (STAT3) transcription factor, and can function as a tumor suppressor. The human protein purified from mitochondria migrates at approximately 16 kDa. Transcripts originating from an upstream promoter and capable of expressing a protein with a longer N-terminus have been found, but their biological validity has not been determined.

Protocol

N/A

MSDS
Reviews
Neo Scientific welcomes feedback from its customers.

If you have used an our product and would like to share how it has performed, please click on the "Submit Review" button and provide the requested information.

If you have any additional inquiries please email technical services at info@neobiolab.com.

Thank you for your support.

promotions

Image

Custom Monoclonal Antibody
MassAb Technologies
Image
Free Trial Custom Polyclonal Antibody
You will receive free purified antibodies for validation
Image
Custom Peptides Synthesis

Start from $40/each

new technologies

Image
Optimized for enhanced
expression levels
XPromoter 2.0
Image
E.coli/insect cells/293 & CHO

3 in 1 expression system
Image
MassAb Technologies

Cover All Epitopes