For quotations, please use our online quotation form, and you may also contact us by
sales@neoscientific.com
+1-888.733.6849
+1-617.299.7367 (Int’l)
+1-888.733.6849
+1-617.299.7367 (Int’l)
| Reactivity | Human Mouse Rat | 
| Tested applications | WB IHC IF | 
| Recommended Dilution | WB 1:500 - 1:2000 IHC 1:50 - 1:200 IF 1:50 - 1:200 | 
| Calculated MW | 62kDa | 
| Observed MW | Refer to Figures | 
| Immunogen | Recombinant Protein of human NEFL | 
| Storage Buffer | Store at -20℃. Avoid freeze / thaw cycles. Buffer: PBS with 0.02% sodium azide, 50% glycerol, pH7.3. | 
| Concentration | i | 
| Synonym | NEFL ;CMT1F;CMT2E; NF L;NFL;68 kDa neurofilament protein | 

Western blot analysis of extracts of MCF7 cells using NEFL antibody.

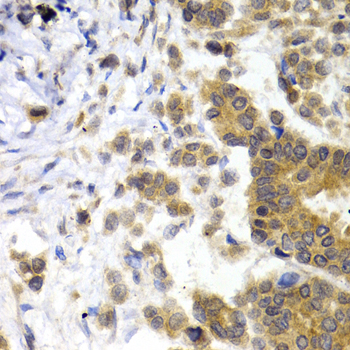
Immunohistochemistry of paraffin-embedded human breast cancer using NEFL antibody at dilution of 1:200 (400x lens).

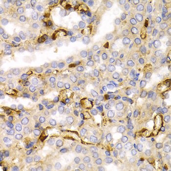
Immunohistochemistry of paraffin-embedded rat kidney using NEFL antibody at dilution of 1:200 (400x lens).

Immunohistochemistry of paraffin-embedded rat brain using NEFL antibody at dilution of 1:200 (400x lens).

Immunofluorescence analysis of HeLa cell using NEFL antibody. Blue: DAPI for nuclear staining.
The cytoskeleton consists of three types of cytosolic fibers: actin microfilaments, intermediate filaments, and microtubules. Neurofilaments are the major intermediate filaments found in neurons and consist of light (NFL), medium (NFM), and heavy (NFH) subunits (1). Similar in structure to other intermediate filament proteins, neurofilaments have a globular amino-terminal head, a central α-helical rod domain, and a carboxy-terminal tail. A heterotetrameric unit (NFL-NFM and NFL-NFH) forms a protofilament, with eight protofilaments comprising the typical 10 nm intermediate filament (2). While neurofilaments are critical for radial axon growth and determine axon caliber, microtubules are involved in axon elongation. PKA phosphorylates the head domain of NFL and NFM to inhibit neurofilament assembly (3,4). Neurofilament accumulations are found in many human neurological disorders including Parkinson's disease (in Lewy bodies along with α-synuclein), Alzheimer's disease, Charcot-Marie-Tooth disease, and Amyotrophic Lateral Sclerosis (ALS) (1).
N/A