For quotations, please use our online quotation form, and you may also contact us by
sales@neoscientific.com
+1-888.733.6849
+1-617.299.7367 (Int’l)
+1-888.733.6849
+1-617.299.7367 (Int’l)
| Reactivity | Human Mouse Rat |
| Tested applications | WB IHC IF |
| Recommended Dilution | WB 1:500 - 1:2000 IHC 1:50 - 1:200 IF 1:50 - 1:200 |
| Calculated MW | 37kDa |
| Observed MW | Refer to Figures |
| Immunogen | Recombinant protein of human NFKBIB |
| Storage Buffer | Store at -20℃. Avoid freeze / thaw cycles. Buffer: PBS with 0.02% sodium azide, 50% glycerol, pH7.3. |
| Concentration | kp |
| Synonym | IKBB; TRIP9; |

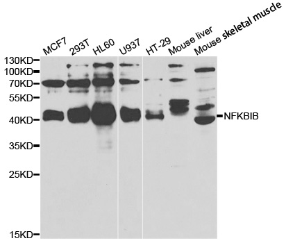
Western blot analysis of extracts of various cell lines, using NFKBIB antibody.

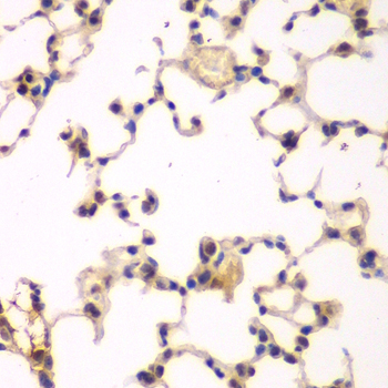
Immunohistochemistry of paraffin-embedded rat lung using NFKBIB antibody at dilution of 1:200 (400x lens).

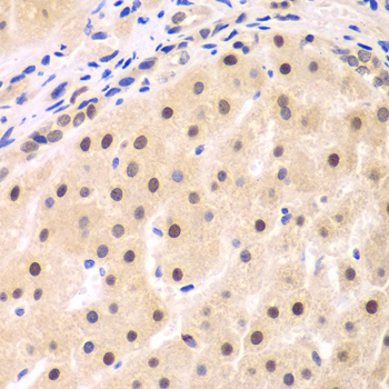
Immunohistochemistry of paraffin-embedded human liver cancer using NFKBIB antibody at dilution of 1:200 (400x lens).

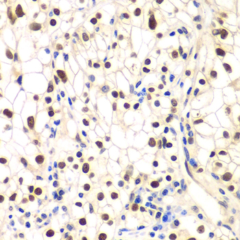
Immunohistochemistry of paraffin-embedded human kidney cancer using NFKBIB antibody at dilution of 1:200 (400x lens).

Immunofluorescence analysis of A549 cell using NFKBIB antibody. Blue: DAPI for nuclear staining.

Immunofluorescence analysis of U2OS cell using NFKBIB antibody. Blue: DAPI for nuclear staining.
The protein encoded by this gene belongs to the NF-kappa-B inhibitor family, which inhibit NF-kappa-B by complexing with, and trapping it in the cytoplasm. Phosphorylation of serine residues on these proteins by kinases marks them for destruction via the ubiquitination pathway, thereby allowing activation of the NF-kappa-B, which translocates to the nucleus to function as a transcription factor. Alternatively spliced transcript variants have been found for this gene.
N/A