NME1-Polyclonal Antibodies

our services
our products
Quotations & Ordering:

For quotations, please use our online quotation form, and you may also contact us by

sales@neoscientific.com

Phone:

+1-888.733.6849
+1-617.299.7367 (Int’l)

Fax:

+1-888.733.6849
+1-617.299.7367 (Int’l)

Our customer service representatives are available 24 hours, Monday through Friday to assist you.

NME1

Qty


Total
$220
Catalog #
A0259
Antibody Type
Polyclonal Antibody
Gene ID
4830
Swiss Prot
P15531
Size
Species
Rabbit
Isotype
IgG
Purity
Affinity purification
Additional Information
ReactivityHuman Mouse Rat
Tested applicationsWB IHC IF
Recommended DilutionWB 1:500 - 1:2000 IHC 1:50 - 1:200 IF 1:50 - 1:200
Calculated MW17kDa
Observed MWRefer to Figures
ImmunogenA synthetic peptide of human NME1
Storage BufferStore at -20℃. Avoid freeze / thaw cycles. Buffer: PBS with 0.02% sodium azide, 50% glycerol, pH7.3.
Concentrationbj
SynonymNME1;AWD;GAAD;NB;NBS;NDPK-A;NDPKA;NM23;NM23-H1 ; NDKA
Images
  • A0259: image 1

    Western blot analysis of extracts of various cell lines, using NME1 antibody.

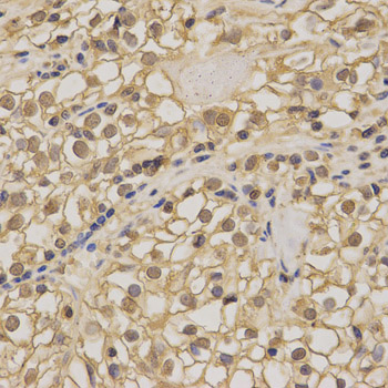
  • A0259: image 2

    Immunohistochemistry of paraffin-embedded human kidney using NME1 antibody at dilution of 1:200 (x400 lens).

  • A0259: image 3

    Immunofluorescence analysis of A549 cell using NME1 antibody. Blue: DAPI for nuclear staining.

Background

The NDK/NME/NM23 kinase family (encoded by the NME gene family) consists of at least eight distinct proteins that exhibit different cellular localization (1). Members of this group inhibit metastasis in a variety of tumor cell types (2). All NDK/NME/NM23 proteins possess nucleoside diphosphatase kinase (NDK) activity and catalyze the phosphorylation of nucleoside diphosphate to the corresponding nucleoside triphosphate to regulate a diverse array of cellular events (3). At least four classes of NDK biochemical activities have been described, including protein-protein interactions (4-6), regulation of GTP-binding protein function (7-9), DNA-associated activities (10,11), and histidine-dependent protein phosphotransferase activity (12). NDK/NME proteins participate in the regulation of a broad spectrum of cellular responses, including development, differentiation, proliferation, endocytosis, and apoptosis (13). Because of its role in metastasis suppression and oncogenesis, NDKA (NME1/NM23-H1) has been widely studied (14). NDKA (NM23-H1) and NDKB (NM23-H2) are encoded by adjacent NME1 and NME2 genes and share 90% sequence identity. Two serine residues (Ser122 and Ser144) on NDKA/NM23-H1 can be phosphorylated by AMPKα1, but only phosphorylation at Ser122 determines whether NDKA channels ATP to AMPKα1. This regulates AMPKα1 activity towards ACC1, an important regulator of fatty acid metabolism (15). Mutation of NDKB/NM23-H2 at Ser122 (S122P) in melanoma cells results in altered phosphoryl transfer activity (16).

Protocol

N/A

MSDS
Reviews
Neo Scientific welcomes feedback from its customers.

If you have used an our product and would like to share how it has performed, please click on the "Submit Review" button and provide the requested information.

If you have any additional inquiries please email technical services at info@neobiolab.com.

Thank you for your support.

promotions

Image

Custom Monoclonal Antibody
MassAb Technologies
Image
Free Trial Custom Polyclonal Antibody
You will receive free purified antibodies for validation
Image
Custom Peptides Synthesis

Start from $40/each

new technologies

Image
Optimized for enhanced
expression levels
XPromoter 2.0
Image
E.coli/insect cells/293 & CHO

3 in 1 expression system
Image
MassAb Technologies

Cover All Epitopes