NOTCH3-Polyclonal Antibodies

our services
our products
Quotations & Ordering:

For quotations, please use our online quotation form, and you may also contact us by

sales@neoscientific.com

Phone:

+1-888.733.6849
+1-617.299.7367 (Int’l)

Fax:

+1-888.733.6849
+1-617.299.7367 (Int’l)

Our customer service representatives are available 24 hours, Monday through Friday to assist you.

NOTCH3

Qty


Total
$220
Catalog #
A3115
Antibody Type
Polyclonal Antibody
Gene ID
4854
Swiss Prot
Q9UM47
Size
Species
Rabbit
Isotype
IgG
Purity
Affinity purification
Additional Information
ReactivityHuman Mouse Rat
Tested applicationsWB IHC IF
Recommended DilutionWB 1:200 - 1:1000 IHC 1:20 - 1:200 IF 1:20 - 1:200
Calculated MW244kDa
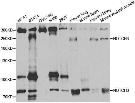
Observed MWRefer to Figures
ImmunogenA synthetic peptide of human NOTCH3
Storage BufferStore at -20℃. Avoid freeze / thaw cycles. Buffer: PBS with 0.02% sodium azide, 50% glycerol, pH7.3.
Concentrationt
SynonymCASIL; CADASIL;
Images
  • A3115: image 1

    Western blot analysis of extracts of various cell lines, using NOTCH3 antibody.

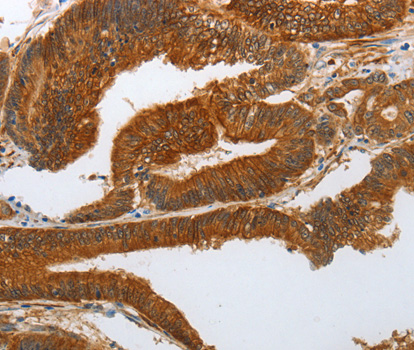
  • A3115: image 2

    Immunohistochemistry of paraffin-embedded human colon cancer tissue using NOTCH3 antibody.

  • A3115: image 3

    Immunofluorescence analysis of SW480 cells showing nuclear and cytoplasmic localization with NOTCH3 antibody 1:200 (top,red)..

Background

Notch proteins (Notch1-4) are a family of transmembrane receptors that play important roles in development and the determination of cell fate (1). Mature Notch receptors are processed and assembled as heterodimeric proteins, with each dimer comprised of a large extracellular ligand-binding domain, a single-pass transmembrane domain, and a smaller cytoplasmic subunit (Notch intracellular domain, NICD) (2). Binding of Notch receptors to ligands of the Delta-Serrate-Lag2 (DSL) family triggers heterodimer dissociation, exposing the receptors to proteolytic cleavages; these result in release of the NICD, which translocates to the nucleus and activates transcription of downstream target genes (3-4).Notch3 is a member of the Notch family and is processed similar to Notch1 (5). It is expressed primarily in arterial smooth muscle cells (SMC). Mutations altering the number of cysteine residues in the Notch3 extracellular region are associated with cerebral autosomal dominant arteriopathy with subcortical infarcts and leukoencephalopathy (CADASIL), a hereditary angiopathy leading to strokes and dementia in adults (6-8). Recent studies indicate that Notch3 is overexpressed in many types of cancer (9-11).

Protocol

N/A

MSDS
Reviews
Neo Scientific welcomes feedback from its customers.

If you have used an our product and would like to share how it has performed, please click on the "Submit Review" button and provide the requested information.

If you have any additional inquiries please email technical services at info@neobiolab.com.

Thank you for your support.

promotions

Image

Custom Monoclonal Antibody
MassAb Technologies
Image
Free Trial Custom Polyclonal Antibody
You will receive free purified antibodies for validation
Image
Custom Peptides Synthesis

Start from $40/each

new technologies

Image
Optimized for enhanced
expression levels
XPromoter 2.0
Image
E.coli/insect cells/293 & CHO

3 in 1 expression system
Image
MassAb Technologies

Cover All Epitopes