NUP62-Polyclonal Antibodies

our services
our products
Quotations & Ordering:

For quotations, please use our online quotation form, and you may also contact us by

sales@neoscientific.com

Phone:

+1-888.733.6849
+1-617.299.7367 (Int’l)

Fax:

+1-888.733.6849
+1-617.299.7367 (Int’l)

Our customer service representatives are available 24 hours, Monday through Friday to assist you.

NUP62

Qty


Total
$220
Catalog #
A2499
Antibody Type
Polyclonal Antibody
Gene ID
23636
Swiss Prot
P37198
Size
Species
Rabbit
Isotype
IgG
Purity
Affinity purification
Additional Information
ReactivityHuman Mouse Rat
Tested applicationsWB IHC IF
Recommended DilutionWB 1:500 - 1:2000 IHC 1:50 - 1:200 IF 1:10 - 1:100
Calculated MW53kDa
Observed MWRefer to Figures
ImmunogenRecombinant protein of human NUP62
Storage BufferStore at -20℃. Avoid freeze / thaw cycles. Buffer: PBS with 0.02% sodium azide, 50% glycerol, pH7.3.
Concentrationb
Synonymp62; IBSN; SNDI;
Images
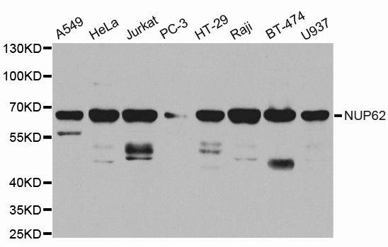
  • A2499: image 1

    Western blot analysis of extracts of various cell lines, using NUP62 antibody.

  • A2499: image 2

    Immunohistochemistry of paraffin-embedded human lung cancer using NUP62 antibody at dilution of 1:100 (x40 lens).

  • A2499: image 3

    Immunofluorescence analysis of U2OS cell using NUP62 antibody. Blue: DAPI for nuclear staining.

Background

The nuclear pore complex is a massive structure that extends across the nuclear envelope, forming a gateway that regulates the flow of macromolecules between the nucleus and the cytoplasm. Nucleoporins are the main components of the nuclear pore complex in eukaryotic cells. The protein encoded by this gene is a member of the FG-repeat containing nucleoporins and is localized to the nuclear pore central plug. This protein associates with the importin alpha/beta complex which is involved in the import of proteins containing nuclear localization signals. Multiple transcript variants of this gene encode a single protein isoform.

Protocol

N/A

MSDS
Reviews
Neo Scientific welcomes feedback from its customers.

If you have used an our product and would like to share how it has performed, please click on the "Submit Review" button and provide the requested information.

If you have any additional inquiries please email technical services at info@neobiolab.com.

Thank you for your support.

promotions

Image

Custom Monoclonal Antibody
MassAb Technologies
Image
Free Trial Custom Polyclonal Antibody
You will receive free purified antibodies for validation
Image
Custom Peptides Synthesis

Start from $40/each

new technologies

Image
Optimized for enhanced
expression levels
XPromoter 2.0
Image
E.coli/insect cells/293 & CHO

3 in 1 expression system
Image
MassAb Technologies

Cover All Epitopes