For quotations, please use our online quotation form, and you may also contact us by
sales@neoscientific.com
+1-888.733.6849
+1-617.299.7367 (Int’l)
+1-888.733.6849
+1-617.299.7367 (Int’l)
| Reactivity | Human Mouse Rat |
| Tested applications | WB IHC IF IP |
| Recommended Dilution | WB 1:500 - 1:2000 IHC 1:50 - 1:200 IF 1:50 - 1:200 IP 1:20 - 1:50 |
| Calculated MW | 117kDa |
| Observed MW | Refer to Figures |
| Immunogen | Recombinant protein of human OGT |
| Storage Buffer | Store at -20℃. Avoid freeze / thaw cycles. Buffer: PBS with 0.02% sodium azide, 50% glycerol, pH7.3. |
| Synonym | HRNT1; O-GLCNAC; |

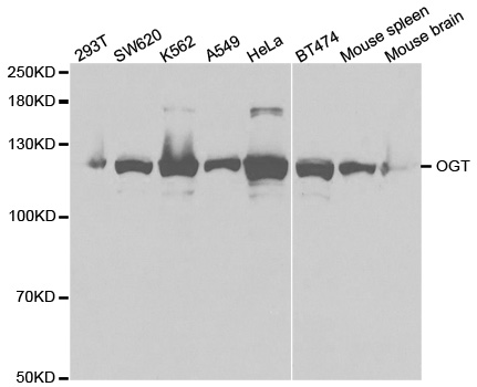
Western blot analysis of extracts of various cell lines, using OGT antibody.

Immunohistochemistry of paraffin-embedded rat heart using OGT antibody at dilution of 1:100 (x40 lens).

Immunohistochemistry of paraffin-embedded human liver injury using OGT antibody at dilution of 1:100 (x40 lens).

Immunofluorescence analysis of U2OS cell using OGT antibody. Blue: DAPI for nuclear staining.
This gene encodes a glycosyltransferase that catalyzes the addition of a single N-acetylglucosamine in O-glycosidic linkage to serine or threonine residues. Since both phosphorylation and glycosylation compete for similar serine or threonine residues, the two processes may compete for sites, or they may alter the substrate specificity of nearby sites by steric or electrostatic effects. The protein contains multiple tetratricopeptide repeats that are required for optimal recognition of substrates. Alternatively spliced transcript variants encoding distinct isoforms have been found for this gene.
N/A