For quotations, please use our online quotation form, and you may also contact us by
sales@neoscientific.com
+1-888.733.6849
+1-617.299.7367 (Int’l)
+1-888.733.6849
+1-617.299.7367 (Int’l)
| Reactivity | Human Mouse Rat |
| Tested applications | WB IHC IF IP RIP |
| Recommended Dilution | WB 1:500 - 1:2000 IHC 1:50 - 1:200 IF 1:50 - 1:200 IP 1:20 - 1:50 RIP 1:20 - 1:50 |
| Calculated MW | 43kDa |
| Observed MW | Refer to Figures |
| Immunogen | Recombinant protein of human PA2G4 |
| Storage Buffer | Store at -20℃. Avoid freeze / thaw cycles. Buffer: PBS with 0.02% sodium azide, 50% glycerol, pH7.3. |
| Concentration | j |
| Synonym | EBP1; HG4-1; p38-2G4; |

Western blot analysis of extracts of various cell lines, using PA2G4 antibody.

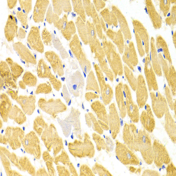
Immunohistochemistry of paraffin-embedded rat heart using PA2G4 antibody at dilution of 1:100 (x400 lens).

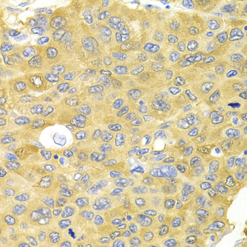
Immunohistochemistry of paraffin-embedded human liver cancer using PA2G4 antibody at dilution of 1:100 (x400 lens).

Immunofluorescence analysis of U20S cell using PA2G4 antibody. Blue: DAPI for nuclear staining.

Immunofluorescence analysis of U2OS cell using PA2G4 antibody. Blue: DAPI for nuclear staining.
This gene encodes an RNA-binding protein that is involved in growth regulation. This protein is present in pre-ribosomal ribonucleoprotein complexes and may be involved in ribosome assembly and the regulation of intermediate and late steps of rRNA processing. This protein can interact with the cytoplasmic domain of the ErbB3 receptor and may contribute to transducing growth regulatory signals. This protein is also a transcriptional co-repressor of androgen receptor-regulated genes and other cell cycle regulatory genes through its interactions with histone deacetylases. This protein has been implicated in growth inhibition and the induction of differentiation of human cancer cells. Six pseudogenes, located on chromosomes 3, 6, 9, 18, 20 and X, have been identified.
N/A