For quotations, please use our online quotation form, and you may also contact us by
sales@neoscientific.com
+1-888.733.6849
+1-617.299.7367 (Int’l)
+1-888.733.6849
+1-617.299.7367 (Int’l)
| Reactivity | Human Mouse Rat |
| Tested applications | WB IHC IF |
| Recommended Dilution | WB 1:500 - 1:2000 IHC 1:50 - 1:200 IF 1:50 - 1:200 |
| Calculated MW | 58kDa |
| Observed MW | Refer to figures |
| Immunogen | Recombinant protein of human PAK2 |
| Storage Buffer | Store at -20℃. Avoid freeze / thaw cycles. Buffer: PBS with 0.02% sodium azide, 50% glycerol, pH7.3. |
| Synonym | PAK65; PAKgamma; |

Western blot analysis of extracts of various cell lines, using PAK2 antibody.

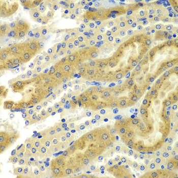
Immunohistochemistry of paraffin-embedded mouse kidney using PAK2 antibody at dilution of 1:100 (x400 lens).

Immunofluorescence analysis of A549 cell using PAK2 antibody. Blue: DAPI for nuclear staining.

Immunofluorescence analysis of A549 cell using PAK2 antibody. Blue: DAPI for nuclear staining.
The p21 activated kinases (PAK) are critical effectors that link Rho GTPases to cytoskeleton reorganization and nuclear signaling. The PAK proteins are a family of serine/threonine kinases that serve as targets for the small GTP binding proteins, CDC42 and RAC1, and have been implicated in a wide range of biological activities. The protein encoded by this gene is activated by proteolytic cleavage during caspase-mediated apoptosis, and may play a role in regulating the apoptotic events in the dying cell.
N/A