PIN1-Polyclonal Antibodies

our services
our products
Quotations & Ordering:

For quotations, please use our online quotation form, and you may also contact us by

sales@neoscientific.com

Phone:

+1-888.733.6849
+1-617.299.7367 (Int’l)

Fax:

+1-888.733.6849
+1-617.299.7367 (Int’l)

Our customer service representatives are available 24 hours, Monday through Friday to assist you.

PIN1

Qty


Total
$220
Catalog #
A2106
Antibody Type
Polyclonal Antibody
Gene ID
5300
Swiss Prot
Q13526
Size
Species
Rabbit
Isotype
IgG
Purity
Affinity purification
Additional Information
ReactivityHuman Mouse Rat
Tested applicationsWB IHC IF
Recommended DilutionWB 1:500 - 1:2000 IHC 1:50 - 1:200 IF 1:50 - 1:200
Calculated MW18kDa
Observed MWRefer to Figures
ImmunogenRecombinant protein of human PIN1
Storage BufferStore at -20℃. Avoid freeze / thaw cycles. Buffer: PBS with 0.02% sodium azide, 50% glycerol, pH7.3.
SynonymDOD; UBL5;
Images
  • A2106: image 1

    Western blot analysis of extracts of various cell lines, using PIN1 antibody.

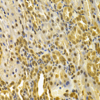
  • A2106: image 2

    Immunohistochemistry of paraffin-embedded rat kidney using PIN1 antibody at dilution of 1:100 (x400 lens).

  • A2106: image 3

    Immunofluorescence analysis of MCF7 cell using PIN1 antibody. Blue: DAPI for nuclear staining.

Background

Pin1, a member of the parvulin family of peptidyl-prolyl isomerases (PPIase), has been implicated in the G2/M transition of the mammalian cell cycle (1-6). Pin1 is a small (18 kDa) protein with two distinct functional domains: an amino-terminal WW domain and a carboxy-terminal PPlase domain. Pin1 interacts with several mitotic phosphoproteins, including Plk1, cdc25C and cdc27, and is thought to act as a phosphorylation-dependent PPlase for these target molecules (7-9).

Protocol

N/A

MSDS
Reviews
Neo Scientific welcomes feedback from its customers.

If you have used an our product and would like to share how it has performed, please click on the "Submit Review" button and provide the requested information.

If you have any additional inquiries please email technical services at info@neobiolab.com.

Thank you for your support.

promotions

Image

Custom Monoclonal Antibody
MassAb Technologies
Image
Free Trial Custom Polyclonal Antibody
You will receive free purified antibodies for validation
Image
Custom Peptides Synthesis

Start from $40/each

new technologies

Image
Optimized for enhanced
expression levels
XPromoter 2.0
Image
E.coli/insect cells/293 & CHO

3 in 1 expression system
Image
MassAb Technologies

Cover All Epitopes