For quotations, please use our online quotation form, and you may also contact us by
sales@neoscientific.com
+1-888.733.6849
+1-617.299.7367 (Int’l)
+1-888.733.6849
+1-617.299.7367 (Int’l)
| Reactivity | Human Mouse Rat |
| Tested applications | WB IHC |
| Recommended Dilution | WB 1:500 - 1:2000 IHC 1:50 - 1:200 |
| Calculated MW | 61kDa |
| Observed MW | Refer to figures |
| Immunogen | Recombinant protein of human PKLR |
| Storage Buffer | Store at -20℃. Avoid freeze / thaw cycles. Buffer: PBS with 0.02% sodium azide, 50% glycerol, pH7.3. |
| Synonym | PK1; PKL; PKR; RPK; PKRL; |

Western blot analysis of extracts of Raji cell line, using PKLR antibody.

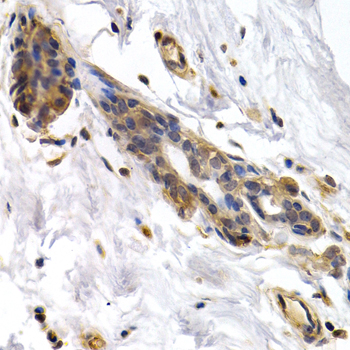
Immunohistochemistry of paraffin-embedded human normal breast using PKLR antibody at dilution of 1:200 (400x lens).

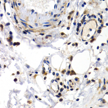
Immunohistochemistry of paraffin-embedded human normal colon using PKLR antibody at dilution of 1:200 (400x lens).
The protein encoded by this gene is a pyruvate kinase that catalyzes the transphosphorylation of phohsphoenolpyruvate into pyruvate and ATP, which is the rate-limiting step of glycolysis. Defects in this enzyme, due to gene mutations or genetic variations, are the common cause of chronic hereditary nonspherocytic hemolytic anemia (CNSHA or HNSHA). Multiple transcript variants encoding different isoforms have been found for this gene.
N/A