For quotations, please use our online quotation form, and you may also contact us by
sales@neoscientific.com
+1-888.733.6849
+1-617.299.7367 (Int’l)
+1-888.733.6849
+1-617.299.7367 (Int’l)
| Reactivity | Human Mouse Rat |
| Tested applications | WB IHC IF |
| Recommended Dilution | WB 1:200 - 1:1000 IHC 1:50 - 1:200 IF 1:50 - 1:200 |
| Calculated MW | 38kDa |
| Observed MW | Refer to Figures |
| Immunogen | Recombinant protein of human POLB |
| Storage Buffer | Store at -20℃. Avoid freeze / thaw cycles. Buffer: PBS with 0.02% sodium azide, 50% glycerol, pH7.3. |
| Concentration | be |
| Synonym | MGC125976; POLB; |

Western blot analysis of extracts of various cell lines, using POLB antibody.

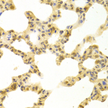
Immunohistochemistry of paraffin-embedded rat lung using POLB antibody at dilution of 1:100 (x400 lens).

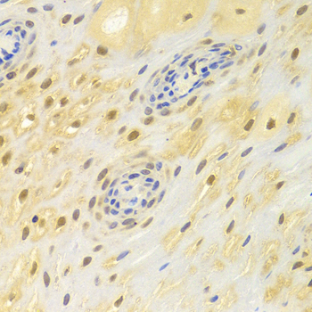
Immunohistochemistry of paraffin-embedded human esophageal using POLB antibody at dilution of 1:100 (x400 lens).

Immunofluorescence analysis of U2OS cell using POLB antibody. Blue: DAPI for nuclear staining.
The protein encoded by this gene is a DNA polymerase involved in base excision and repair, also called gap-filling DNA synthesis. The encoded protein, acting as a monomer, is normally found in the cytoplasm, but it translocates to the nucleus upon DNA damage. Several transcript variants of this gene exist, but the full-length nature of only one has been described to date. [provided by RefSeq, Sep 2011]
N/A