PPP1CA-Polyclonal Antibodies

our services
our products
Quotations & Ordering:

For quotations, please use our online quotation form, and you may also contact us by

sales@neoscientific.com

Phone:

+1-888.733.6849
+1-617.299.7367 (Int’l)

Fax:

+1-888.733.6849
+1-617.299.7367 (Int’l)

Our customer service representatives are available 24 hours, Monday through Friday to assist you.

PPP1CA

Qty


Total
$220
Catalog #
A2184
Antibody Type
Polyclonal Antibody
Gene ID
5499
Swiss Prot
P62136
Size
Species
Rabbit
Isotype
IgG
Purity
Affinity purification
Additional Information
ReactivityHuman Mouse Rat
Tested applicationsWB IHC IF
Recommended DilutionWB 1:500 - 1:2000 IHC 1:50 - 1:200 IF 1:50 - 1:200
Calculated MW38kDa
Observed MWRefer to Figures
ImmunogenRecombinant protein of human PPP1CA
Storage BufferStore at -20℃. Avoid freeze / thaw cycles. Buffer: PBS with 0.02% sodium azide, 50% glycerol, pH7.3.
Concentrationq
SynonymPPP1CA;MGC15877;MGC1674;PP-1A;PP1alpha;PPP1A;
Images
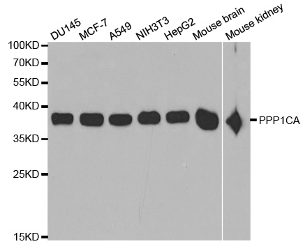
  • A2184: image 1

    Western blot analysis of extracts of various cell lines, using PPP1CA antibody.

  • A2184: image 2

    Immunofluorescence analysis of U2OS cell using PPP1CA antibody. Blue: DAPI for nuclear staining.

Background

Type 1 protein phosphatase (PP1), a serine/threonine phosphatase, is highly conserved in eukaryotic cells. Four isoforms of PP1 have been characterized: PP1α, PP1δ, PP1γ1 and PP1γ2 (1). Involvement in cell cycle regulation is one of the biological functions of PP1 (1). It has been illustrated that PP1 dephosphorylates Rb and cdc25 during mitosis (2,3). A cell cycle-dependent phosphorylation at Thr320 of PP1α by cdc2 kinase inhibits PP1α activity (4).

Protocol

N/A

MSDS
Reviews
Neo Scientific welcomes feedback from its customers.

If you have used an our product and would like to share how it has performed, please click on the "Submit Review" button and provide the requested information.

If you have any additional inquiries please email technical services at info@neobiolab.com.

Thank you for your support.

promotions

Image

Custom Monoclonal Antibody
MassAb Technologies
Image
Free Trial Custom Polyclonal Antibody
You will receive free purified antibodies for validation
Image
Custom Peptides Synthesis

Start from $40/each

new technologies

Image
Optimized for enhanced
expression levels
XPromoter 2.0
Image
E.coli/insect cells/293 & CHO

3 in 1 expression system
Image
MassAb Technologies

Cover All Epitopes