For quotations, please use our online quotation form, and you may also contact us by
sales@neoscientific.com
+1-888.733.6849
+1-617.299.7367 (Int’l)
+1-888.733.6849
+1-617.299.7367 (Int’l)
| Reactivity | Human Mouse Rat |
| Tested applications | WB IHC IF |
| Recommended Dilution | WB 1:500 - 1:2000 IHC 1:50 - 1:200 IF 1:50 - 1:200 |
| Calculated MW | 37kDa |
| Observed MW | Refer to Figures |
| Immunogen | Recombinant protein of human PPP1CB |
| Storage Buffer | Store at -20℃. Avoid freeze / thaw cycles. Buffer: PBS with 0.02% sodium azide, 50% glycerol, pH7.3. |
| Concentration | q |
| Synonym | PPP1CB;MGC3672;PP-1B;PPP1CD ; |

Western blot analysis of extracts of various cell lines, using PPP1CB antibody.

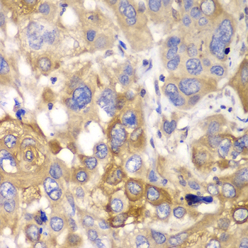
Immunohistochemistry of paraffin-embedded human esophageal cancer using PPP1CB antibody at dilution of 1:100 (400x lens).

Immunofluorescence analysis of U2OS cell using PPP1CB antibody. Blue: DAPI for nuclear staining.

Immunofluorescence analysis of U2OS cell using PPP1CB antibody. Blue: DAPI for nuclear staining.
Protein phosphatase 1 (PP1) is the main eukaryotic protein serine/threonine phosphatase that regulates an enormous variety of cellular processes including protein-protein interactions, gene transcription, cell-cycle progression and apoptosis. It is a trimeric complex composed of a regulatory subunit, a variable subunit and a catalytic subunit. The catalytic subunit of PP1 (PP1c) can interact with amount of regulatory subunits in vivo that target it to particular subcellular locations and regulate its activity towards specific substrates. PPP1CB migrated as a 37kd protein on SDS page.
N/A