For quotations, please use our online quotation form, and you may also contact us by
sales@neoscientific.com
+1-888.733.6849
+1-617.299.7367 (Int’l)
+1-888.733.6849
+1-617.299.7367 (Int’l)
| Reactivity | Human Mouse Rat |
| Tested applications | WB IHC |
| Recommended Dilution | WB 1:500 - 1:2000 IHC 1:50 - 1:200 |
| Calculated MW | 23kDa |
| Observed MW | Refer to figures |
| Immunogen | Recombinant protein of human PPP1R1B |
| Storage Buffer | Store at -20℃. Avoid freeze / thaw cycles. Buffer: PBS with 0.02% sodium azide, 50% glycerol, pH7.3. |
| Synonym | DARPP32; DARPP-32; |

Western blot analysis of extracts of various cells, using PPP1R1B antibody.

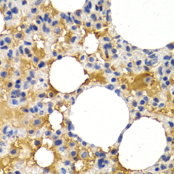
Immunohistochemistry of paraffin-embedded rat lung using PPP1R1B antibody at dilution of 1:200 (400x lens).

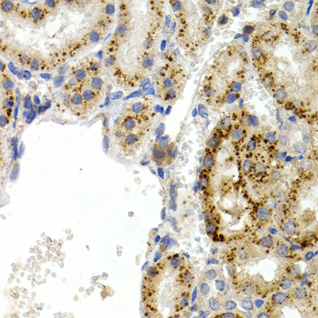
Immunohistochemistry of paraffin-embedded rat kidney using PPP1R1B antibody at dilution of 1:200 (400x lens).

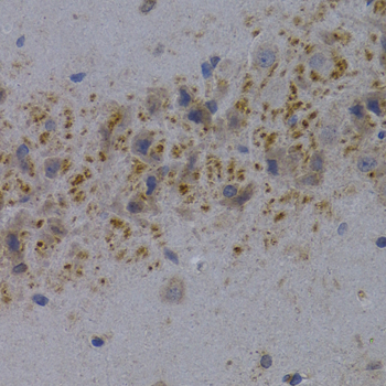
Immunohistochemistry of paraffin-embedded rat brain using PPP1R1B antibody at dilution of 1:200 (400x lens).
This gene encodes a bifunctional signal transduction molecule. Dopaminergic and glutamatergic receptor stimulation regulates its phosphorylation and function as a kinase or phosphatase inhibitor. As a target for dopamine, this gene may serve as a therapeutic target for neurologic and psychiatric disorders. Multiple transcript variants encoding different isoforms have been found for this gene.
N/A