For quotations, please use our online quotation form, and you may also contact us by
sales@neoscientific.com
+1-888.733.6849
+1-617.299.7367 (Int’l)
+1-888.733.6849
+1-617.299.7367 (Int’l)
| Reactivity | Human Mouse Rat |
| Tested applications | WB IHC IF |
| Recommended Dilution | WB 1:500 - 1:2000 IHC 1:50 - 1:200 IF 1:50 - 1:200 |
| Calculated MW | 40kDa |
| Observed MW | Refer to Figures |
| Immunogen | Recombinant protein of human PPP2R4 |
| Storage Buffer | Store at -20℃. Avoid freeze / thaw cycles. Buffer: PBS with 0.02% sodium azide, 50% glycerol, pH7.3. |
| Concentration | r |
| Synonym | PP2A; PR53; PTPA; |

Western blot analysis of extracts of MCF7 cell line, using PPP2R4 antibody.

Immunohistochemistry of paraffin-embedded rat brain using PPP2R4 antibody at dilution of 1:200 (x400 lens)

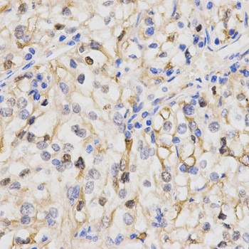
Immunohistochemistry of paraffin-embedded human kidney using PPP2R4 antibody at dilution of 1:200 (x400 lens)

Immunofluorescence analysis of U2OS cell using PPP2R4 antibody. Blue: DAPI for nuclear staining.
Protein phosphatase 2A is one of the four major Ser/Thr phosphatases and is implicated in the negative control of cell growth and division. Protein phosphatase 2A holoenzymes are heterotrimeric proteins composed of a structural subunit A, a catalytic subunit C, and a regulatory subunit B. The regulatory subunit is encoded by a diverse set of genes that have been grouped into the B/PR55, B'/PR61, and B''/PR72 families. These different regulatory subunits confer distinct enzymatic specificities and intracellular localizations to the holozenzyme. The product of this gene belongs to the B' family. This gene encodes a specific phosphotyrosyl phosphatase activator of the dimeric form of protein phosphatase 2A. Alternative splicing results in multiple transcript variants encoding different isoforms.
N/A