For quotations, please use our online quotation form, and you may also contact us by
sales@neoscientific.com
+1-888.733.6849
+1-617.299.7367 (Int’l)
+1-888.733.6849
+1-617.299.7367 (Int’l)
| Reactivity | Human Mouse Rat |
| Tested applications | WB IHC |
| Recommended Dilution | WB 1:500 - 1:2000 IHC 1:50 - 1:200 |
| Calculated MW | 31kDa |
| Observed MW | Refer to Figures |
| Immunogen | Recombinant protein of human PRDX4 |
| Storage Buffer | Store at -20℃. Avoid freeze / thaw cycles. Buffer: PBS with 0.02% sodium azide, 50% glycerol, pH7.3. |
| Synonym | AOE37-2; PRX-4; |

Western blot analysis of extracts of various cell lines, using PRDX4 antibody.

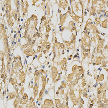
Immunohistochemistry of paraffin-embedded human kidney cancer using PRDX4 antibody at dilution of 1:200 (x400 lens)

Immunohistochemistry of paraffin-embedded human stomach using PRDX4 antibody at dilution of 1:200 (x400 lens)
PRDX4(Peroxiredoxin-4) is also named as AOE37-2, Prx-IV and belongs to the AhpC/TSA family. PRDX4 is associated with acrosome formation during rat spermatogenesis and has a protective role in the male reproductive tract, because the phenotype of mice lacking this isoform includes testicular atrophy and increased sperm DNA damage(PMID:20864641). It is initially synthesized as a membrane-binding 31-kDa protein and processed into a 27-kDa secretory form and is discarded with the residual bodies(PMID:19208552). PRDX4 is a pentamer of dimers(PMID:23025503). This antibody is speific to PRDX4.
N/A