For quotations, please use our online quotation form, and you may also contact us by
sales@neoscientific.com
+1-888.733.6849
+1-617.299.7367 (Int’l)
+1-888.733.6849
+1-617.299.7367 (Int’l)
| Reactivity | Human Mouse Rat |
| Tested applications | WB IHC IF |
| Recommended Dilution | WB 1:500 - 1:2000 IHC 1:50 - 1:200 IF 1:50 - 1:200 |
| Calculated MW | 40kDa |
| Observed MW | Refer to Figures |
| Immunogen | Recombinant protein of human PRKACB |
| Storage Buffer | Store at -20℃. Avoid freeze / thaw cycles. Buffer: PBS with 0.02% sodium azide, 50% glycerol, pH7.3. |
| Concentration | dipq |
| Synonym | PKACB; |

Western blot analysis of extracts of SW480 cell line, using PRKACB antibody.

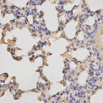
Immunohistochemistry of paraffin-embedded mouse lung using PRKACB antibody at dilution of 1:200 (x400 lens).

Immunofluorescence analysis of U2OS cell using PRKACB antibody. Blue: DAPI for nuclear staining.

Immunofluorescence analysis of U2OS cell using PRKACB antibody. Blue: DAPI for nuclear staining.
cAMP is a signaling molecule important for a variety of cellular functions. cAMP exerts its effects by activating the cAMP-dependent protein kinase, which transduces the signal through phosphorylation of different target proteins. The inactive kinase holoenzyme is a tetramer composed of two regulatory and two catalytic subunits. cAMP causes the dissociation of the inactive holoenzyme into a dimer of regulatory subunits bound to four cAMP and two free monomeric catalytic subunits. Four different regulatory subunits and three catalytic subunits have been identified in humans. The protein encoded by this gene is a member of the Ser/Thr protein kinase family and is a catalytic subunit of cAMP-dependent protein kinase. Several alternatively spliced transcript variants encoding distinct isoforms have been observed.
N/A