Phospho-HSPB1-S82-Phosphorylated Antibodies

our services
our products
Quotations & Ordering:

For quotations, please use our online quotation form, and you may also contact us by

sales@neoscientific.com

Phone:

+1-888.733.6849
+1-617.299.7367 (Int’l)

Fax:

+1-888.733.6849
+1-617.299.7367 (Int’l)

Our customer service representatives are available 24 hours, Monday through Friday to assist you.

Phospho-HSPB1-S82

Qty


Total
$300
Catalog #
AP0237
Antibody Type
Polyclonal Antibody
Gene ID
3315
Swiss Prot
P04792
Size
Species
Rabbit
Isotype
IgG
Purity
Affinity purification
Additional Information
ReactivityHuman
Tested applicationsWB IHC
Recommended DilutionWB 1:500 - 1:2000 IHC 1:50 - 1:100
Calculated MW27kDa
Observed MWRefer to Figures
ImmunogenA phospho specific peptide corresponding to residues surrounding S82 of human HSPB1
Storage BufferStore at -20℃. Avoid freeze / thaw cycles. Buffer: PBS with 0.02% sodium azide, 50% glycerol, pH7.3.
Concentrationj
SynonymCMT2F; HMN2B; HSP27; HSP28; Hsp25; SRP27; HS.76067;
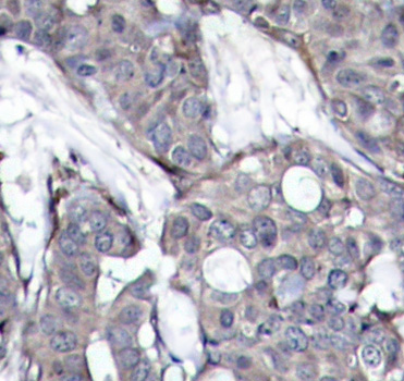
Images
  • AP0237: image 1

    Western blot analysis of extracts from HL60 cells, using Phospho-HSPB1-S82 antibody.

  • AP0237: image 2

    Immunohistochemical analysis of paraffin-embedded human breast carcinoma tissue using Phospho-HSPB1-S82 antibody.

Background

The protein encoded by this gene is induced by environmental stress and developmental changes. The encoded protein is involved in stress resistance and actin organization and translocates from the cytoplasm to the nucleus upon stress induction. Defects in this gene are a cause of Charcot-Marie-Tooth disease type 2F (CMT2F) and distal hereditary motor neuropathy (dHMN).

Protocol

N/A

MSDS
Reviews
Neo Scientific welcomes feedback from its customers.

If you have used an our product and would like to share how it has performed, please click on the "Submit Review" button and provide the requested information.

If you have any additional inquiries please email technical services at info@neobiolab.com.

Thank you for your support.

promotions

Image

Custom Monoclonal Antibody
MassAb Technologies
Image
Free Trial Custom Polyclonal Antibody
You will receive free purified antibodies for validation
Image
Custom Peptides Synthesis

Start from $40/each

new technologies

Image
Optimized for enhanced
expression levels
XPromoter 2.0
Image
E.coli/insect cells/293 & CHO

3 in 1 expression system
Image
MassAb Technologies

Cover All Epitopes