Phospho-IGF1R-Y1161-Polyclonal Antibodies

our services
our products
Quotations & Ordering:

For quotations, please use our online quotation form, and you may also contact us by

sales@neoscientific.com

Phone:

+1-888.733.6849
+1-617.299.7367 (Int’l)

Fax:

+1-888.733.6849
+1-617.299.7367 (Int’l)

Our customer service representatives are available 24 hours, Monday through Friday to assist you.

Phospho-IGF1R-Y1161

Qty


Total
$300
Catalog #
AP0367
Antibody Type
Polyclonal Antibody
Gene ID
3480
Swiss Prot
P08069
Size
Species
Rabbit
Isotype
IgG
Purity
Affinity purification
Additional Information
ReactivityHuman Mouse Rat
Tested applicationsWB IHC IF
Recommended DilutionWB 1:500 - 1:2000 IHC 1:50 - 1:100 IF 1:100 - 1:200
Calculated MW95.2kDa
Observed MWRefer to Figures
ImmunogenA phospho specific peptide corresponding to residues surrounding Y1161 of human IGF1R
Storage BufferStore at -20℃. Avoid freeze / thaw cycles. Buffer: PBS with 0.02% sodium azide, 50% glycerol, pH7.3.
Concentrationb
SynonymIGFR; CD221; IGFIR; JTK13;
Images
  • AP0367: image 1

    Western blot analysis of extracts from 293 cells, using Phospho-IGF1R-Y1161 antibody.

  • AP0367: image 2

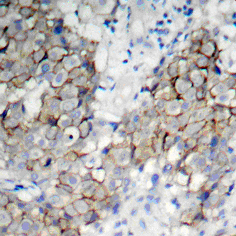
    Immunohistochemical analysis of paraffin-embedded human breast carcinoma tissue using Phospho-IGF1R-Y1161 antibody.

  • AP0367: image 3

    Immunofluorescence staining of methanol-fixed MCF7 cells using Phospho-IGF1R-Y1161 antibody.

Background

This receptor binds insulin-like growth factor with a high affinity. It has tyrosine kinase activity. The insulin-like growth factor I receptor plays a critical role in transformation events. Cleavage of the precursor generates alpha and beta subunits. It is highly overexpressed in most malignant tissues where it functions as an anti-apoptotic agent by enhancing cell survival.

Protocol

N/A

MSDS
Reviews
Neo Scientific welcomes feedback from its customers.

If you have used an our product and would like to share how it has performed, please click on the "Submit Review" button and provide the requested information.

If you have any additional inquiries please email technical services at info@neobiolab.com.

Thank you for your support.

promotions

Image

Custom Monoclonal Antibody
MassAb Technologies
Image
Free Trial Custom Polyclonal Antibody
You will receive free purified antibodies for validation
Image
Custom Peptides Synthesis

Start from $40/each

new technologies

Image
Optimized for enhanced
expression levels
XPromoter 2.0
Image
E.coli/insect cells/293 & CHO

3 in 1 expression system
Image
MassAb Technologies

Cover All Epitopes