Phospho-PTPN6-Y536-Polyclonal Antibodies

our services
our products
Quotations & Ordering:

For quotations, please use our online quotation form, and you may also contact us by

sales@neoscientific.com

Phone:

+1-888.733.6849
+1-617.299.7367 (Int’l)

Fax:

+1-888.733.6849
+1-617.299.7367 (Int’l)

Our customer service representatives are available 24 hours, Monday through Friday to assist you.

Phospho-PTPN6-Y536

Qty


Total
$300
Catalog #
AP0440
Antibody Type
Polyclonal Antibody
Gene ID
5777
Swiss Prot
P29350
Size
Species
Rabbit
Isotype
IgG
Purity
Affinity purification
Additional Information
ReactivityHuman Mouse Rat
Tested applicationsIHC IF
Recommended DilutionIHC 1:50 - 1:100 IF 1:100 - 1:200
Calculated MW68kDa
Observed MWRefer to Figures
ImmunogenA phospho specific peptide corresponding to residues surrounding Y536 of human PTPN6
Storage BufferStore at -20℃. Avoid freeze / thaw cycles. Buffer: PBS with 0.02% sodium azide, 50% glycerol, pH7.3.
Concentrationbo
SynonymHCP; HCPH; SHP1; SHP-1; HPTP1C; PTP-1C; SHP-1L; SH-PTP1;
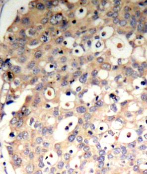
Images
  • AP0440: image 1

    Immunohistochemical analysis of paraffin-embedded human breast carcinoma tissue, using Phospho-PTPN6-Y536 antibody.

  • AP0440: image 2

    Immunofluorescence staining of methanol-fixed Hela cells, using Phospho-PTPN6-Y536 antibody.

Background

The protein encoded by this gene is a member of the protein tyrosine phosphatase (PTP) family. PTPs are known to be signaling molecules that regulate a variety of cellular processes including cell growth, differentiation, mitotic cycle, and oncogenic transformation. N-terminal part of this PTP contains two tandem Src homolog (SH2) domains, which act as protein phospho-tyrosine binding domains, and mediate the interaction of this PTP with its substrates. This PTP is expressed primarily in hematopoietic cells, and functions as an important regulator of multiple signaling pathways in hematopoietic cells. This PTP has been shown to interact with, and dephosphorylate a wide spectrum of phospho-proteins involved in hematopoietic cell signaling. Multiple alternatively spliced variants of this gene, which encode distinct isoforms, have been reported.

Protocol

N/A

MSDS
Reviews
Neo Scientific welcomes feedback from its customers.

If you have used an our product and would like to share how it has performed, please click on the "Submit Review" button and provide the requested information.

If you have any additional inquiries please email technical services at info@neobiolab.com.

Thank you for your support.

promotions

Image

Custom Monoclonal Antibody
MassAb Technologies
Image
Free Trial Custom Polyclonal Antibody
You will receive free purified antibodies for validation
Image
Custom Peptides Synthesis

Start from $40/each

new technologies

Image
Optimized for enhanced
expression levels
XPromoter 2.0
Image
E.coli/insect cells/293 & CHO

3 in 1 expression system
Image
MassAb Technologies

Cover All Epitopes