Phospho-SRC-Y529-Polyclonal Antibodies

our services
our products
Quotations & Ordering:

For quotations, please use our online quotation form, and you may also contact us by

sales@neoscientific.com

Phone:

+1-888.733.6849
+1-617.299.7367 (Int’l)

Fax:

+1-888.733.6849
+1-617.299.7367 (Int’l)

Our customer service representatives are available 24 hours, Monday through Friday to assist you.

Phospho-SRC-Y529

Qty


Total
$300
Catalog #
AP0185
Antibody Type
Polyclonal Antibody
Gene ID
6714
Swiss Prot
P12931
Size
Species
Rabbit
Isotype
IgG
Purity
Affinity purification
Additional Information
ReactivityHuman Mouse Rat
Tested applicationsWB IHC IF
Recommended DilutionWB 1:500 - 1:2000 IHC 1:50 - 1:100 IF 1:100 - 1:200
Calculated MW60kDa
Observed MWRefer to Figures
ImmunogenA phospho specific peptide corresponding to residues surrounding Y529 of human SRC
Storage BufferStore at -20℃. Avoid freeze / thaw cycles. Buffer: PBS with 0.02% sodium azide, 50% glycerol, pH7.3.
Concentrationoqt
SynonymASV; SRC1; c-SRC; p60-Src;
Images
  • AP0185: image 1

    Western blot analysis of extracts from HT29 cells, using Phospho-SRC-Y529 antibody.

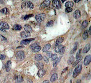
  • AP0185: image 2

    Immunohistochemical analysis of paraffin-embedded human breast carcinoma tissue using Phospho-SRC-Y529 antibody.

  • AP0185: image 3

    Immunofluorescence staining of methanol-fixed Hela cells using Phospho-SRC-Y529 antibody.

Background

This gene is highly similar to the v-src gene of Rous sarcoma virus. This proto-oncogene may play a role in the regulation of embryonic development and cell growth. The protein encoded by this gene is a tyrosine-protein kinase whose activity can be inhibited by phosphorylation by c-SRC kinase. Mutations in this gene could be involved in the malignant progression of colon cancer. Two transcript variants encoding the same protein have been found for this gene.

Protocol

N/A

MSDS
Reviews
Neo Scientific welcomes feedback from its customers.

If you have used an our product and would like to share how it has performed, please click on the "Submit Review" button and provide the requested information.

If you have any additional inquiries please email technical services at info@neobiolab.com.

Thank you for your support.

promotions

Image

Custom Monoclonal Antibody
MassAb Technologies
Image
Free Trial Custom Polyclonal Antibody
You will receive free purified antibodies for validation
Image
Custom Peptides Synthesis

Start from $40/each

new technologies

Image
Optimized for enhanced
expression levels
XPromoter 2.0
Image
E.coli/insect cells/293 & CHO

3 in 1 expression system
Image
MassAb Technologies

Cover All Epitopes