Phospho-STAT6-T645-Polyclonal Antibodies

our services
our products
Quotations & Ordering:

For quotations, please use our online quotation form, and you may also contact us by

sales@neoscientific.com

Phone:

+1-888.733.6849
+1-617.299.7367 (Int’l)

Fax:

+1-888.733.6849
+1-617.299.7367 (Int’l)

Our customer service representatives are available 24 hours, Monday through Friday to assist you.

Phospho-STAT6-T645

Qty


Total
$300
Catalog #
AP0455
Antibody Type
Polyclonal Antibody
Gene ID
6778
Swiss Prot
P42226
Size
Species
Rabbit
Isotype
IgG
Purity
Affinity purification
Additional Information
ReactivityHuman
Tested applicationsIHC
Recommended DilutionIHC 1:50 - 1:100
Calculated MW110kDa
Observed MWRefer to Figures
ImmunogenA phospho specific peptide corresponding to residues surrounding T645 of human STAT6
Storage BufferStore at -20℃. Avoid freeze / thaw cycles. Buffer: PBS with 0.02% sodium azide, 50% glycerol, pH7.3.
Concentrationko
SynonymSTAT6B; STAT6C; D12S1644; IL-4-STAT;
Images
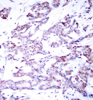
  • AP0455: image 1

    Immunohistochemical analysis of paraffin-embedded human breast carcinoma tissue, using Phospho-STAT6-T645 antibody.

Background

The protein encoded by this gene is a member of the STAT family of transcription factors. In response to cytokines and growth factors, STAT family members are phosphorylated by the receptor associated kinases, and then form homo- or heterodimers that translocate to the cell nucleus where they act as transcription activators. This protein plays a central role in exerting IL4 mediated biological responses. It is found to induce the expression of BCL2L1/BCL-X(L), which is responsible for the anti-apoptotic activity of IL4. Knockout studies in mice suggested the roles of this gene in differentiation of T helper 2 (Th2) cells, expression of cell surface markers, and class switch of immunoglobulins. Alternative splicing results in multiple transcript variants.

Protocol

N/A

MSDS
Reviews
Neo Scientific welcomes feedback from its customers.

If you have used an our product and would like to share how it has performed, please click on the "Submit Review" button and provide the requested information.

If you have any additional inquiries please email technical services at info@neobiolab.com.

Thank you for your support.

promotions

Image

Custom Monoclonal Antibody
MassAb Technologies
Image
Free Trial Custom Polyclonal Antibody
You will receive free purified antibodies for validation
Image
Custom Peptides Synthesis

Start from $40/each

new technologies

Image
Optimized for enhanced
expression levels
XPromoter 2.0
Image
E.coli/insect cells/293 & CHO

3 in 1 expression system
Image
MassAb Technologies

Cover All Epitopes