For quotations, please use our online quotation form, and you may also contact us by
sales@neoscientific.com
+1-888.733.6849
+1-617.299.7367 (Int’l)
+1-888.733.6849
+1-617.299.7367 (Int’l)
| Reactivity | Human Mouse Rat |
| Tested applications | WB IHC IF |
| Recommended Dilution | WB 1:500 - 1:2000 IHC 1:50 - 1:200 IF 1:50 - 1:200 |
| Calculated MW | 38kDa |
| Observed MW | Refer to figures |
| Immunogen | Recombinant protein of human QKI |
| Storage Buffer | Store at -20℃. Avoid freeze / thaw cycles. Buffer: PBS with 0.02% sodium azide, 50% glycerol, pH7.3. |
| Synonym | QK; Hqk; QK1; QK3; hqkI; |

Western blot analysis of extracts of various cell lines, using QKI antibody.

Western blot analysis of extracts of various cell lines, using QKI antibody.

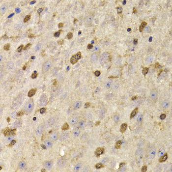
Immunohistochemistry of paraffin-embedded mouse brain using QKI antibody at dilution of 1:100 (x400 lens).

Immunofluorescence analysis of MCF7 cell using QKI antibody.
The protein encoded by this gene is an RNA-binding protein that regulates pre-mRNA splicing, export of mRNAs from the nucleus, protein translation, and mRNA stability. The encoded protein is involved in myelinization and oligodendrocyte differentiation and may play a role in schizophrenia. Multiple transcript variants encoding different isoforms have been found for this gene.
N/A