For quotations, please use our online quotation form, and you may also contact us by
sales@neoscientific.com
+1-888.733.6849
+1-617.299.7367 (Int’l)
+1-888.733.6849
+1-617.299.7367 (Int’l)
| Reactivity | Human Mouse Rat |
| Tested applications | WB IHC IF |
| Recommended Dilution | WB 1:500 - 1:2000 IHC 1:50 - 1:200 IF 1:50 - 1:200 |
| Calculated MW | 63kDa |
| Observed MW | Refer to Figures |
| Immunogen | Recombinant protein of human RANGAP1 |
| Storage Buffer | Store at -20℃. Avoid freeze / thaw cycles. Buffer: PBS with 0.02% sodium azide, 50% glycerol, pH7.3. |
| Synonym | SD; Fug1; RANGAP; |

Western blot analysis of extracts of various cell lines, using RANGAP1 antibody.

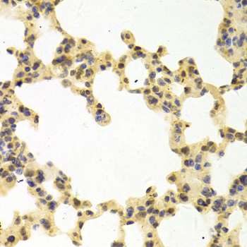
Immunohistochemistry of paraffin-embedded mouse lung using RANGAP1 antibody at dilution of 1:100 (x400 lens).

Immunofluorescence analysis of U20S cell using RANGAP1 antibody. Blue: DAPI for nuclear staining.

Immunofluorescence analysis of MCF-7 cell using RANGAP1 antibody.
This gene encodes a protein that associates with the nuclear pore complex and participates in the regulation of nuclear transport. The encoded protein interacts with Ras-related nuclear protein 1 (RAN) and regulates guanosine triphosphate (GTP)-binding and exchange. Alternative splicing results in multiple transcript variants.
N/A