For quotations, please use our online quotation form, and you may also contact us by
sales@neoscientific.com
+1-888.733.6849
+1-617.299.7367 (Int’l)
+1-888.733.6849
+1-617.299.7367 (Int’l)
| Reactivity | Human Mouse Rat |
| Tested applications | WB IHC IF IP ChIP |
| Recommended Dilution | WB 1:500 - 1:2000 IHC 1:50 - 1:200 IF 1:50 - 1:200 IP 1:50 - 1:200 ChIP 1:20 - 1:100 |
| Calculated MW | 48kDa |
| Observed MW | Refer to Figures |
| Immunogen | Recombinant protein of human RBBP4 |
| Storage Buffer | Store at -20℃. Avoid freeze / thaw cycles. Buffer: PBS with 0.02% sodium azide, 50% glycerol, pH7.3. |
| Concentration | f |
| Synonym | NURF55; RBAP48; |

Western blot analysis of extracts of various cell lines, using RBBP4 antibody.

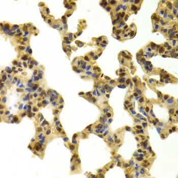
Immunohistochemistry of paraffin-embedded mouse lung using RBBP4 antibody at dilution of 1:100 (x400 lens).

Immunofluorescence analysis of MCF7 cell using RBBP4 antibody. Blue: DAPI for nuclear staining.

Immunofluorescence analysis of MCF-7 cell using RBBP4 antibody.
Retinoblastoma-associated proteins 46 and 48 (RBAP46 and RBAP48; also known as RBBP7 and RBBP4) were first characterized in human cells as proteins that bind to the retinoblastoma (Rb) tumor suppressor protein (1). Since then, these proteins have been shown to be components of many protein complexes involved in chromatin regulation, including the chromatin assembly factor 1 (CAF-1) complex and type B histone acetyltransferase complex HAT1, both of which function in chromatin assembly during DNA replication (2,3). RBAP46 and RBAP48 are also found in the nucleosome remodeling factor complex NURF, the nucleosome remodeling and histone de-acetylation complex NuRD, and the Sin3/HDAC histone de-acetylation complex (4-7). More recently, RBAP46 and RBAP48 were identified as components of the polycomb repressor complex PRC2, which also contains EED and Ezh2 (8). RBAP46 and RBAP48 bind to the histone fold region of histone H4 and are believed to target these chromatin remodeling, histone acetylation, and histone de-acetylation complexes to their histone substrates (3).
N/A