For quotations, please use our online quotation form, and you may also contact us by
sales@neoscientific.com
+1-888.733.6849
+1-617.299.7367 (Int’l)
+1-888.733.6849
+1-617.299.7367 (Int’l)
| Reactivity | Human Mouse Rat |
| Tested applications | WB IHC IF |
| Recommended Dilution | WB 1:500 - 1:2000 IHC 1:50 - 1:200 IF 1:50 - 1:200 |
| Calculated MW | 39kDa |
| Observed MW | Refer to Figures |
| Immunogen | Recombinant protein of human RFC4 |
| Storage Buffer | Store at -20℃. Avoid freeze / thaw cycles. Buffer: PBS with 0.02% sodium azide, 50% glycerol, pH7.3. |
| Concentration | e |
| Synonym | A1; RFC37; |

Western blot analysis of extracts of various cell lines, using RFC4 antibody.

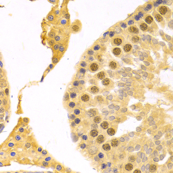
Immunohistochemistry of paraffin-embedded rat testis using RFC4 antibody at dilution of 1:100 (x400 lens).

Immunofluorescence analysis of U20S cell using RFC4 antibody. Blue: DAPI for nuclear staining.

Immunofluorescence analysis of U2OS cell using RFC4 antibody. Blue: DAPI for nuclear staining. DNA damage by a UV-A laser.
The elongation of primed DNA templates by DNA polymerase delta and DNA polymerase epsilon requires the accessory proteins proliferating cell nuclear antigen (PCNA) and replication factor C (RFC). RFC, also named activator 1, is a protein complex consisting of five distinct subunits of 140, 40, 38, 37, and 36 kD. This gene encodes the 37 kD subunit. This subunit forms a core complex with the 36 and 40 kDa subunits. The core complex possesses DNA-dependent ATPase activity, which was found to be stimulated by PCNA in an in vitro system. Alternatively spliced transcript variants encoding the same protein have been reported.
N/A