For quotations, please use our online quotation form, and you may also contact us by
sales@neoscientific.com
+1-888.733.6849
+1-617.299.7367 (Int’l)
+1-888.733.6849
+1-617.299.7367 (Int’l)
| Reactivity | Human Mouse Rat |
| Tested applications | WB IHC IF |
| Recommended Dilution | WB 1:500 - 1:2000 IHC 1:50 - 1:200 IF 1:50 - 1:200 |
| Calculated MW | 29kDa |
| Observed MW | Refer to Figures |
| Immunogen | Recombinant protein of human RPA2 |
| Storage Buffer | Store at -20℃. Avoid freeze / thaw cycles. Buffer: PBS with 0.02% sodium azide, 50% glycerol, pH7.3. |
| Concentration | e |
| Synonym | REPA2; RPA32; |

Western blot analysis of extracts of various cell lines, using RPA2 antibody.

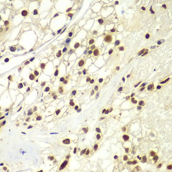
Immunohistochemistry of paraffin-embedded human kidney cancer using RPA2 antibody at dilution of 1:100 (400x lens).

Immunofluorescence analysis of U2OS cell using RPA2 antibody. Blue: DAPI for nuclear staining.

Immunofluorescence analysis of U2OS cell using RPA2 antibody. Blue: DAPI for nuclear staining. DNA damage by a UV-A laser.

Immunofluorescence analysis of GFP-RNF168 trangenic U2OS cell using RPA2 antibody. Green:GFP-RNF168 fusion protein expression for DNA damage marker.Blue: DAPI for nuclear staining.RNF168(GFP) can be used to mark cells damaged by UV-A laser for they always gather around DNA damage region.
RPA70 (HSSB, REPA1, RF-A, RP-A, p70) is a component of a heterotrimeric complex, composed of 70, 32/30 and 14 kDa subunits, collectively known as RPA. RPA is a single stranded DNA binding protein, whose DNA binding activity is believed to reside entirely in the 70 kDa subunit. The complex is required for almost all aspects of cellular DNA metabolism such as DNA replication (1-3), recombination, cell cycle and DNA damage checkpoints, and all major types of DNA repair including nucleotide excision, base excision, mismatch and double-strand break repairs (4-7). In response to genotoxic stress in eukaryotic cells, RPA has been shown to associate with the Rad9/Rad1/Hus1 (9-1-1) checkpoint complex (8). RPA is hyperphosphorylated upon DNA damage or replication stress by checkpoint kinases including ataxia telangiectasia mutated (ATM), ATM and Rad3-related (ATR), and DNA-dependent protein kinase (DNA-PK) (9-11). Hyperphosphorylation may alter RPA-DNA and RPA-protein interactions. In addition to the checkpoint partners, RPA interacts with a wide variety of protein partners, including proteins required for normal replication such as RCF, PCNA and Pol α, and also proteins involved in SV40 replication, such as DNA polymerase I and SV40 large T antigen (10,12).
N/A