For quotations, please use our online quotation form, and you may also contact us by
sales@neoscientific.com
+1-888.733.6849
+1-617.299.7367 (Int’l)
+1-888.733.6849
+1-617.299.7367 (Int’l)
| Reactivity | Human Mouse Rat |
| Tested applications | WB IHC IF |
| Recommended Dilution | WB 1:500 - 1:2000 IHC 1:50 - 1:200 IF 1:10 - 1:100 |
| Calculated MW | 45kDa |
| Observed MW | Refer to Figures |
| Immunogen | Recombinant protein of human RRM2 |
| Storage Buffer | Store at -20℃. Avoid freeze / thaw cycles. Buffer: PBS with 0.02% sodium azide, 50% glycerol, pH7.3. |
| Concentration | e |
| Synonym | R2;RR2M; |

Western blot analysis of extracts of various cell lines, using RRM2 antibody.

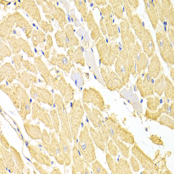
Immunohistochemistry of paraffin-embedded rat heart using RRM2 antibody at dilution of 1:100 (x400 lens).

Immunofluorescence analysis of HeLa cell using RRM2 antibody. Blue: DAPI for nuclear staining.

Immunofluorescence analysis of A549 cell using RRM2 antibody. Blue: DAPI for nuclear staining.
Ribonucleotide reductase M2 subunit is one of two subunits that constitute ribonucleotide reductase, the enzyme that catalyzes the conversion of ribonucleotide 5'-diphosphates into 2'-deoxyribonucleotides, a rate-limiting step in the production of 2'-deoxyribonucleoside 5'-diphosphates (dNTP) required for DNA synthesis and repair that is required for DNA synthesis and repair [PMID:20825972, 19250552]. RRM2 is only expressed during the late G1/early S phase, and degraded in late S phase, and the activity of RNR, and therefore DNA synthesis and cell proliferation, is controlled during the cell cycle by the synthesis and degradation of RRM2 subunit.
N/A